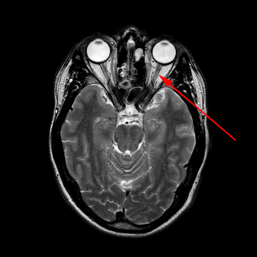
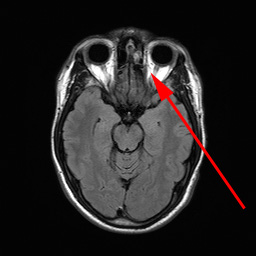
Øjne, normal, MR
Horisontalt snit fra en MR-scanning på højde med øjnene

Ovenfor ses en MR optagelse i form af et tværsnit gennem hovedet på højde med øjnene. Den røde pil peger på synsnerven i den ene side.
Vil du vide mere?
Indhold leveret af