Sinus ethmoidales og sphenoidalis, axial, CT

ethmoidal og sphenoidalsinus axial jpg
700

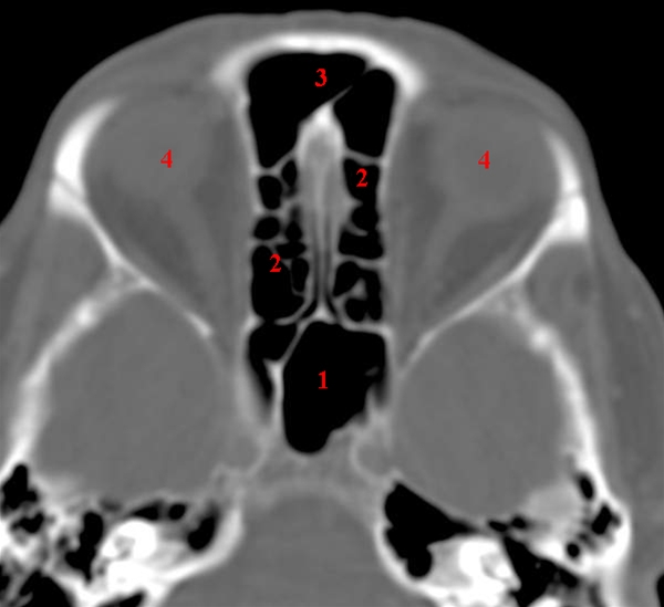
CT-snit i axialplan gennem sinus sphenoidalis og ethmoidalceller.
Basale del af sinus frontalis ses også.

Der ses også veludtalt pneumatisering af pars petrosa

  1. Sinus sphenoidalis (kilebenshule)
  2. Sinus ethmoidales (sibbenshule)
  3. Sinus frontalis (pandehule)
  4. Orbita (øjenhule)

Har du en kommentar til artiklen?

Bemærk venligst, at du IKKE vil modtage svar på henvendelser, der omhandler din egen sygdom, pårørendes sygdom, blodprøvesvar, hjælp til at udarbejde skoleopgaver og litteratursøgning.

Indhold leveret af

Lægehåndbogen

Lægehåndbogen

Kristianiagade 12

2100 København Ø

DisclaimerLægehåndbogen