Sialoadenitis, ultralyd

kaebe-sialoadenit-ultralyd
716

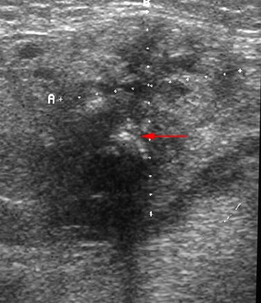
Ultralyd af kroniske betændelsesforandringer i glandula submandibularis (underkæbespytkirtlen) med mikroabscesser og en forkalkning (pil) som giver ekkoskygge.

Vil du vide mere?

Har du en kommentar til artiklen?

Bemærk venligst, at du IKKE vil modtage svar på henvendelser, der omhandler din egen sygdom, pårørendes sygdom, blodprøvesvar, hjælp til at udarbejde skoleopgaver og litteratursøgning.

Indhold leveret af

Lægehåndbogen

Lægehåndbogen

Kristianiagade 12

2100 København Ø

DisclaimerLægehåndbogen