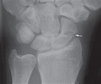
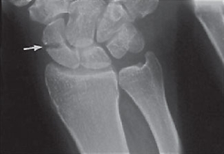
Resumé
Diagnose
- Håndledssmerter efter et relevant traume
- Kliniske fund med såkaldt "Triadeømhed"
- Positivt fund på røntgen eller MR
Behandling
- Primært immobiliseres håndleddet, indtil det er afklaret, om der er fraktur
- Uforskudte brud behandles som udgangspunkt med gipsbandagering
- Forskudte brud samt brud i proksimale del behandles oftest med operation
Henvisning
- På klinisk mistanke om brud



