Resumé
Diagnose
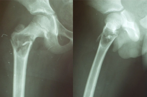
- Findes hyppigst som et bi-fund på røntgenbillede taget af anden årsag eller røntgen taget i forbindelse med patologisk fraktur
- Ved mistanke om malignitet kan suppleres med MR-skanning
Behandling
- Kirurgisk behandling ved store cyster for at forhindre patologisk brud
Henvisning
- Ved vedvarende dybe knoglesmerter henvises til røntgenundersøgelse
- Ved påvist knoglecyste henvises til ortopædkirurgisk afdeling
