Vejrtrækningsbesvær hos nyfødte

Jesper Andersen

speciallæge

Basisoplysninger

Definition1

  • Respirationsbesvær hos nyfødte præsenterer sig med apnø, cyanose, knirken, inspiratorisk stridor, spil af næsefløje, dårlig appetit og takypnø (mere end 60 åndedrag pr. minut)
  • Der kan også observeres interkostale, subkostale eller suprakostale indtrækninger
  • Tilstanden opstår ofte i forbindelse med den transition, der sker fra føtalliv til levende nyfødt, typisk kort tid efter fødslen

Forekomst1

  • Respirationsbesvær forekommer ofte hos nyfødte, men hyppigheden afhænger af gestationsalderen

Diagnostisk tankegang1

  • Respirationsbesvær efter præmatur fødsel kan tyde på respiratorisk distress syndrom
  • Respirationsbesvær hos børn født til termin eller senere kaldes også respiratorisk distress og er hyppigst forårsaget af forbigående "wet lungs", men kan også være forårsaget af mekoniumaspiration, pneumothorax m.m.

Diagnostiske faldgruber1

  • Medfødte misdannelser, som f.eks. esofagusatresi eller diafragmahernie

ICPC-2

ICD-10/SKS-koder

Differentialdiagnoser1

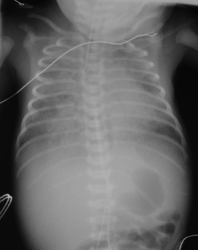
Forbigående takypnø

Forbigående takypnø, røntgen
 

  • Kaldes også transitorisk tachypnoe eller "wet lungs"
  • Årsag
    • Godartet tilstand, som skyldes tilbageværende fostervand i lungevævet efter fødslen
    • Risikofaktorer inkluderer makrosomi (stort foster), maternel diabetes og kejsersnit
  • Forekomst
    • Er den hyppigste årsag til neonatalt respirationsbesvær hos mature børn
  • Sygehistorie og fund
    • Takypnø umiddelbart efter fødslen eller inden for to timer
    • Symptomerne kan vare fra nogle timer til et par dage, men typisk under 24 timer
  • Undersøgelser
    • Rtg. thorax viser diffuse lidt vattede parenkymatøse infiltrater, en "våd silhuet" omkring hjertet, eller intralobær væskeophobning

Respiratorisk distress syndrom

Respiratorisk distress syndrom
 

  • Årsag
    • Skyldes strukturel og funktionel umodenhed i lungerne
    • Kaldes også hyalin membransygdom
  • Forekomst
    • Er den hyppigste årsag til respirationsbesvær hos præmature børn
    • Optræder hyppigst blandt børn født før 28. uge, rammer 1/3 født mellem 28.-34. uge og mindre end 5 % af dem født efter 34. uge
    • Incidensen er højere hos spædbørn født af mødre med diabetes
  • Sygehistorie og kliniske fund
    • Knirken og indtrækninger hos præmaturt barn lige efter eller i timerne efter fødslen
    • Hypoksi og cyanose forekommer ofte
  • Undersøgelser
    • Rtg. thorax viser homogene tætte infiltrater og luftbronkogram

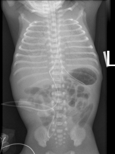
Mekonium aspirationssyndrom1

Mekonium aspirationssyndrom.
 

  • Årsag
    • Mekonium som aspireres til luftvejene
    • Mekonium består af afskallede celler, sekret, lanugo, vand, galdepigmenter, pankreasenzymer og amnionvæske
    • Selv om mekonium er sterilt, virker det lokalt irriterende, obstruerende og udgør et medium for bakterievækst
  • Forekomst
    • Kvittering af mekonium kan være udtryk for føtalt stress eller hypoksi in utero
  • Sygehistorie og kliniske fund
    • Mekoniumfarvet amnionvæske
    • Respirationsbesvær umiddelbart efter fødslen
    • Lignende symptomer kan forekomme efter aspiration af blod eller ufarvet amnionvæske
  • Undersøgelser
    • Rtg. thorax viser plettede atelektaser eller konsolidering med fortætning af lungevæv

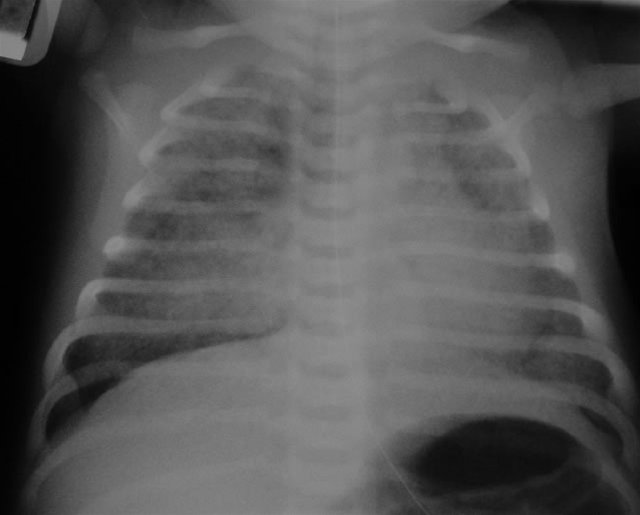
Infektion1

Pneumoni hos nyfødt, røntgen .
 

  • Årsag
    • Bakteriel infektion, især med gruppe B streptokokker, gram negative stave, som E. coli eller Listeria, Staphylococcus aureus
    • Risikofaktorer er langvarig fødsel efter tidlig hinderuptur, præmaturitet og maternel feber
  • Forekomst
    • Som sepsis, pneumoni eller meningitis
  • Sygehistorie og kliniske fund
    • Enhver akut syg nyfødt bør mistænkes for sepsis
    • Uspecifikke symptomer, inkl. respiratorisk distress, apnø/bradykardi, sløvhed, gylp/opkast mm.
  • Undersøgelser
    • Rtg. thorax kan påvise bilaterale infiltrater og pleuraeksudat hos 2/3 med pneumoni 
    • Bloddyrkning, lumbalpunktur

Andre årsager1

  • Der er andre jævnlige og almindelige årsager til vejrtrækningsbesvær efter fødslen, som skyldes f.eks. hypoglykæmi eller hypotermi (ofte at barnet er blevet afkølet efter fødslen) 

Sjældnere årsager1

  • Pneumothorax 
    • Kan optræde spontant eller som et resultat af infektion, mekoniumaspiration, lungedeformitet og ventilations barotraume
    • Incidensen er ca. 1 % blandt børn født til termin, men tiltager til omkring 5-6 % hos præmature
  • Persisterende pulmonal hypertension
    • Opstår når den vaskulære resistens i lungekredsløbet ikke falder som normalt lige efter fødslen
    • Årsagen kan være idiopatisk eller sekundær til mekoniumaspirations syndrom, pneumoni, sepsis, respiratorisk distress syndrom, forbigående takypnø, ubehandlet hypoglykæmi, afkøling
  • Visse medfødte misdannelser
    • F.eks. pulmonal hypoplasi, medfødt emfysem, øsofagusatresi, diafragmahernie
    • Øvre luftvejsobstruktion som følge af choanal atresi eller vaskulær ring
    • Obstruktive læsioner inkluderer choanal atresi, makroglossi, Pierre Robin-sekvens, lymfangiom, teratom, mediastinal udfyldning, cyster, subglottisk stenose, laryngotracheomalaci
  • Medfødt hjertesygdom 
    • Cyanotisk hjertesygdom inkluderer transposition af de store arterier og Fallots tetralogi
    • Ikke-cyanotisk hjertelæsion kan give pulmonal overbelastning og hjertesvigt, f.eks. som følge af store septumdefekter, åben ductus arteriosus, coarctatio aortae
  • Neurologiske forstyrrelser
    • F.eks. hydrocephalus, intrakraniel blødning
    • Central respiratorisk depression kan optræde, efter at den fødende har fået smertestillende medikament under fødsel eller illegale narkotika
  • Metaboliske og hæmatologiske forstyrrelser
    • F.eks. hypokalcæmi, polycytæmi, anæmi
    • Medfødte stofskiftesygdomme

Sygehistorie

Centrale elementer

  • Differentialdiagnoserne ændres med gestationsalderen
  • For tidligt fødte børn
    • Tyder på respiratorisk distress syndrom
  • Født til termin eller senere
    • Transitorisk takypnoe 
    • Mekoniumaspiration, afhængig af forhistorien
  • Infektionsstatus før fødslen?
  • Fødselsdetaljer
    • Varighed af fødslen, særlig efter hinderuptur
    • Fostervandets farve
    • Moderens temperatur
    • Maternel takykardi?
    • Ændringer i fosterlyd?
  • Familieanamnese
    • Medfødte misdannelser?
  • Start og varighed af respirationsbesvær
    • Forbigående takypnø begynder tidligt og aftager
    • Sepsis, meningitis og pneumoni mangler tidlige tegn, men kan manifestere sig i løbet af timer til dage. Vil hyppigt have respirationsbesvær
    • Respiratorisk distress syndrom starter tidligt hos præmature børn uden at vise tegn til spontan bedring

Klinisk undersøgelse

Generelt

  • Se efter tegn på apnø, takypnø eller cyanose, indtrækninger, thoraxexcursioner
  • Vurder graden af den nyfødtes respirationsbesvær

Specielt

  • Hjertet
    • Lyt efter mislyd med tanke på medfødt hjerteanomali
  • Lunger
    • Se efter asymmetriske thoraxbevægelser som tegn på pneumothorax
    • Lyt efter grov krepitation som tegn på pneumoni
    • Knirken - intermitterende - konstant

Supplerende undersøgelser på hospital

  • Rtg. thorax
  • Pulsoximetri
    • Bruges til at påvise hypoksi og bedømme behovet for ilttilskud
    • Alle nyfødte børn screenes i dag på barselsgang med spotsaturation i forhold til at detektere tidlig tegn på mb. Cordis
  • Blodsukker og syrebasestatus, typisk 2 timer gamle 
  • Evt. hæm-status
  • Evt. bloddyrkninger
  • Alvorlig tilstand kræver umiddelbar genoplivning, lungebillede og laboratorieprøver

Relevante laboratorieprøver

  • Bloddyrkning
    • Kan påvise bakteriæmi
    • Ikke nyttig initialt fordi det tager 1-2 døgn, før resultatet foreligger
  • Blodgasser
    • Bruges til at vurdere grad af hypoksæmi ved arteriel prøve, eller syrebasestatus hvis taget kapillært
  • Blodglukose
    • Hypoglykæmi kan forårsage eller forværre takypnø
  • Hæm-status
    • Leukocytose indikerer stress eller infektion
    • Neutropeni tyder på bakteriel infektion
    • Lav hæmoglobin viser anæmi
    • Høj hæmoglobin tyder på polycytæmi
    • Lavt trombocyttal forekommer ofte  ved sepsis
  • Infektionstal
  • CRP er ikke altid vejledende initialt
    Lumbalpunktur
    • Ved mistanke om meningitis

Tiltag og råd2

Råd

Generelle tiltag

  • Genoplivning jvf. guidelines med hjertemassage, maskeCPAP eller intubation 
  • Ilttilskud
  • Surfaktant jvf. guidelines ved tegn til respiratorisk distress syndrom (RDS) 
  • Antibiotika? Hvis infektion mistænkes
  • Oral ernæring holdes ofte tilbage, hvis barnet er udtalt respiratorisk påvirket

Specielle tiltag

  • Forbigående takypnø
    • Kun støttebehandling er påkrævet, siden tilstanden går over af sig selv, evt. CPAP (kontinuerligt flow/modstand som barnet ånder ind og ud imod, og som bedrer luftskifte og tidalvolumen), ilttilskud
  • Respiratorisk distress syndrom 
  • Mekoniumaspiration
    • Fokus på ventilation, suges forinden i mund og svælg ved synligt grønt fostervand,  Intuberes og suges laryngoskopisk ved intubationskyndig læge, hvis nødvendigt og muligt og suges som udgangspunkt ikke rutinemæssigt blindt dybt i luftveje.
  • Pneumothorax
    • Dekompression med nål eller dræn

Patientinformation

Hvad findes af skriftlig patientinformation

Animation

Kilder

Referencer

  1. Martin R. Overview of neonatal respiratory distress: Disorders of transition. www.uptodate.com. Wolters Kluwer. 2024.
  2. Genoplivning af nyfødte 2021, Guideline for Dansk Pædiatrisk Selskab. Vis kilde

Fagmedarbejdere

Jesper Andersen

ledende overlæge, ph.d., klinisk lektor, Børn- og ungeafdelingen, Nordsjællands Hospital, Københavns Universitetshospital, Hillerød

Bo Christensen

professor, ph.d., praktiserende læge, Institut for Folkesundhed - Almen Medicin, Aarhus Universitet

Har du en kommentar til artiklen?

Bemærk venligst, at du IKKE vil modtage svar på henvendelser, der omhandler din egen sygdom, pårørendes sygdom, blodprøvesvar, hjælp til at udarbejde skoleopgaver og litteratursøgning.

Indhold leveret af

Lægehåndbogen

Lægehåndbogen

Kristianiagade 12

2100 København Ø

DisclaimerLægehåndbogen