Scheuermanns sygdom

Søren Kold

speciallæge

Fakta

  • Scheuermanns sygdom er kendetegnet ved, at ryggen bliver udtalt krum på grund af kileformede ryghvirvler
  • Tilstanden udvikler sig omkring puberteten og er mest almindelig hos drenge
  • Sygdommen giver sjældent gener som voksen
  • Scheuermanns sygdom er godartet i natur, men der er enkelte svære tilfælde
  • Det er normalt ikke nødvendigt med behandling

Hvad er Scheuermanns sygdom?

Scheuermanns sygdom giver en vækstforstyrrelse i ryghvirvlerne. Den betyder, at ryggen efter nogen tid får en udtalt krumning.

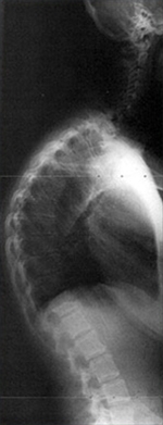
Røntgenbillede af Scheuermanns sygdom

Vækstforstyrrelsen fører til, at hvirvlerne vokser mere i bagkant end i forkant, således at de udvikler en kileform, hvor den laveste del af hvirvlen er rettet forover.

Det er oftest ryghvirvlerne i brystområdet, som bliver påvirket, så man bliver krumrygget. Hvis hvirvlerne i lænderyggen indgår i sygdommen, vil denne del af ryggen miste sit naturlige lændesvaj.

Hvilke symptomer giver Scheuermanns sygdom?

Tilstanden er kendetegnet ved, at man i perioder føler sig mere træt end normalt og har moderate smerter i den del af ryggen, som er påvirket af sygdommen. Dette ses især i sammenhæng med, at man dyrker idræt og belaster ryggen.

Sygdommen opstår oftest hos drenge i 12-14 årsalderen, dvs. i vækstperioden i puberteten. Når man er udvokset, udvikler sygdommen sig ikke yderligere. 

Smerterne og ubehaget bliver oftest mindre sidenhen, men forandringen i holdningen af ryggen er permanent. Enkelte har minimalt med smerter. Men de søger læge, fordi forældrene har lagt mærke til, at teenageren har fået en "dårlig rygholdning".

I meget sjældne tilfælde kan nerver, som går ud fra denne del af ryggen, komme i klemme. Dette kan medføre smerter, tab af følelse og tab af funktion i muskelgrupper.

Hvilke symptomer skal du være særlig opmærksom på?

Den krumme buede ryg er karakteristisk, når det gælder rygpartiet i brystområdet. Lette ryggener kan ses i perioden omkring pubertet.

Hvordan stilles diagnosen?

På røntgenbilleder kan man se de typiske kileforandringer af ryghvirvlerne. Baggrunden for at tage et røntgenbillede er typisk en sygehistorie med rygsmerter hos en teenager med forandringer af ryggens krumning.

Hvorfor får man Scheuermanns sygdom?

Årsagerne til sygdommen er ukendt. Det ser ud til, at arv kan spille en vigtig rolle, idet lignende forandringer findes hos ca. 50 % af dem, som har søskende med sygdommen. 

Man tror, at en af mekanismerne bag væksthæmningen er nedsat forsyning af blod til forreste del af ryghvirvlerne.

Er Scheuermanns sygdom arvelig?

Ja, men også andre faktorer spiller ind på, om man får sygdommen, selvom man ikke kender årsagen. 

Hvordan behandles Scheuermanns sygdom?

De allerfleste har så milde gener, at det ikke er nødvendigt med nogen form for behandling.

Vær fysisk aktiv

Man bør dyrke alsidig fysisk aktivitet. Bugmuskler og rygstrækkere skal styrkes. Hos nogle kan det være nødvendigt med fysioterapi for at styrke muskulatur og sikre bevægelighed i ryggen. Rygstrækkere og hasemuskulatur skal udspændes, og kroppens naturlige korset (core) skal trænes.

Korset

Hos unge mennesker i vækst er forandringerne i ryggen til at begynde med "bløde". Det vil sige, at de til en vis grad kan rettes op ved tryk udefra. I denne fase kan det i sjældne tilfælde være nødvendigt at bruge korset, især hvis man har stærke smerter og en tydelig krumning i ryggen. Korsettet fungerer som et stift skjold, som hindrer videre udvikling af forandringerne i ryggen.

Operation

I de tilfælde, hvor forandringerne i ryggens krumning er udtalte, kan operation komme på tale. Men det er meget sjældent.

Hvad kan jeg selv gøre?

Du kan holde dig fysisk aktiv. Bugmuskler og rygstrækkere skal styrkes. Rygstrækkere og hasemuskulatur skal udspændes, og kroppens naturlige korset (core) skal trænes.

Hvordan undgår jeg at få eller forværre Scheuermanns sygdom?

Der findes umiddelbart ingen sikker forebyggelse. Når tilstanden udvikler sig, kan øvelser muligvis være en hjælp, ligesom korset i sjældne tilfælde kan være gavnligt.

Undgå større vertikale vægtbelastninger mod ryggen (vægtløftning, tunge rygsække).

Hvornår skal jeg søge hjælp? 

Du skal søge hjælp, hvis du begynder at få langvarige gener fra ryggen eller får føleforstyrrelser i benene.

Hvordan udvikler sygdommen sig?

Tilstanden kan hos nogle udvikle sig videre, med forværring af krumningen, så længe man er i vækst. Efter at du er udvokset, udvikler lidelsen sig ikke mere.

Hos langt de fleste ser man ingen eller kun lette begrænsninger i almindelige dagligdags funktioner. Kosmetiske gener over øget krumning af ryggen aftager oftest med alderen.

Forandringer i brystryggen har bedre prognose end forandringer i lænderyggen. Forandringer i lænderyggen kan føre til kroniske smerter. Måske bør man undgå at vælge et arbejde, hvor ryggen udsættes for store belastninger.

Hvor hyppig er Scheuermanns sygdom?

Sygdommen ses hyppigst hos drenge. Den opstår ofte i 12-14-årsalderen i forbindelse med puberteten.

Vil du vide mere?

    Kilder

    Fagmedarbejdere

    Søren Kold

    klin. prof., overlæge, ph.d., Klinisk Institut, Aalborg Universitet og det ortopædkirurgiske speciale, Aalborg Universitetshospital

    Erling Peter Larsen

    speciallæge i almen medicin, Silkeborg

    Indhold leveret af

    Patienthåndbogen

    Patienthåndbogen

    Kristianiagade 12

    2100 København Ø

    DisclaimerPatienthåndbogen