Knoglebetændelse (osteomyelit)

Christian Wong

speciallæge

Fakta

  • Knoglebetændelse (osteomyelit) er en infektion med bakterier i knoglerne
  • Symptomerne er smerter i området, hvor der er knogleinfektion, og eventuelt rødme og hævelse i huden
  • Personen kan desuden få feber og kulderystelser
  • Knoglebetændelse ses hyppigere hos helt små børn og unge
  • Hos ældre mennesker er årsagen hyppigst tidligere operationer, hvor de har fået indsat ledproteser eller efter operation for knoglebrud, hvor der er indsat metalimplantater
  • Behandlingen er typisk langvarig antibiotikabehandling for voksne, kortere for børn
  • Inden behandling sættes i gang, skal der være undersøgt for bakterier fra området. På den måde kan lægen bestemme bakterietypen og give den korrekte antibiotikabehandling
  • Hvis det ikke er muligt at stoppe infektionen med antibiotika alene, kan det blive nødvendigt at fjerne inficeret knogle ved operation

Hvad er osteomyelit?

Osteomyelit er en infektion med bakterier (betændelse) i knoglerne.

Hos børn kan sygdommen komme pludseligt. Barnet føler sig sygt, har feber, kulderystelser, smerter i området, hvor knoglen er inficeret og i visse tilfælde ømhed i de knogleområder, som er ramt.

Små børn kan have mere uklare symptomer. Hvis barnet ikke kan bevæge en arm eller et ben, og der ikke er nogen forudgående skade, kan det skyldes osteomyelit. Også voksne kan have et mere snigende sygdomsbillede uden særlige typiske symptomer, men have feber og føle sig syge.

Osteomyelit inddeles i en akut form, som opstår inden for to uger efter smitten, en subakut form, som opstår inden for en til flere måneder og en kronisk form, som opstår efter flere måneder.

Der kan komme knoglebetændelse i alle kroppens knogler, både de lange rørknogler i armene og benene, knogler i hænderne og ryghvirvlerne.

Hvad er symptomerne på osteomyelit?

Der er især i starten ikke værre symptomer eller diskrete symptomer med generel sygdomsfølelse og/eller feber. Symptomerne er lokale smerter, øget varme og sjældent kan der også være rødme. Der kan også komme feber og kulderystelser.

Hvordan stilles diagnosen?

Mistanke om denne sygdom opstår, når en person har smerter og ømhed i et knogleområde, og der samtidig er feber. Svar på blodprøver vil kunne bestyrke mistanken om osteomyelit. Der er ofte forhøjet CRP og forhøjet antal hvide blodlegemer i blodet.

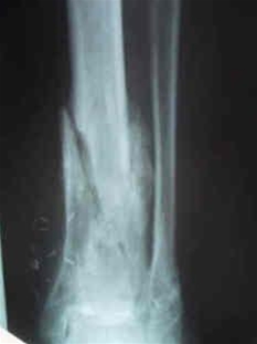
Et almindeligt røntgenbillede viser som regel ikke forandringer før efter 1-2 uger. Skintigrafi og MR-skanning kan imidlertid vise forandringer forholdsvis tidligt.

Det kan være relevant at tage vævsprøver ud fra det betændte knoglevæv for at finde ud af, hvilken bakterie der er årsag til infektionen. Det gøres ved at tage en prøve i det betændte væv, ofte under vejledning af CT-skanning, MR-skanning eller røntgen-undersøgelser. I visse tilfælde findes bakterien ved hjælp af blodprøverne.

Når bakterierne, der er årsag til infektionen, er identificerede, kan der behandles med antibiotika, som er specifikt rettet mod netop disse bakterier.

Hvorfor får man osteomyelit?

I 75 % af tilfældene skyldes sygdommen bakterier af typen stafylokokker. Den næsthyppigste årsag er en gruppe bakterier, som kaldes gruppe A hæmolytiske streptokokker.

Bakterierne kan sprede sig til knoglerne på forskellig vis. Hos børn, som får sygdommen, kommer bakterierne ofte til knoglerne via blodbanen. Infektionen kan også opstå efter fx kirurgiske indgreb på knogler eller skader med åbent sår ind til knoglerne.

Det er heller ikke usædvanligt, at betændelsen spreder sig fra tandbetændelser, liggesår og lignende. Dette sker overvejende hos voksne. Infektioner kan også opstå hos personer med indopererede implantater, fx et kunstigt hofteled.

Smitter osteomyelit

I princippet smitter infektiøse sygdomme, og hos raske skal almindelige personlige hygiejne-regler følges.

Er osteomyelit arveligt?

Nej, det er ikke arveligt, men der findes arvelige sjældne tilstande med nedsat immunforsvar eller sygdomme som diabetiske fodsår, som kan give øget risiko for osteomyelit. 

Hvordan behandler man osteomyelit?

Målet med behandlingen er at stoppe infektionen ved at udrydde bakterierne og hindre komplikationer. Hovedbehandlingen er antibiotika, som er medicin, der bekæmper bakterier. Behandlingen varer ofte 6 uger. De første uger skal du have antibiotika i drop direkte i blodet. Når tilstanden bedres (efter 3-4 uger), skiftes over til tabletter.  En vigtig del af behandlingen er også at sørge for ro og aflastning.

Hvis det ikke er muligt at stoppe infektionen med antibiotika alene, kan det blive nødvendigt at operere, så pus og andet dødt væv kan fjernes fra knogleområdet.

Varigheden af behandlingen er kortere hos børn - der gives en kortere behandling med antibiotika direkte i blodet efterfulgt af antibiotika givet som mikstur eller tabletter.

Hvad kan jeg selv gøre?

Almindelige personlige hygiejne-regler bør følges.

Hvordan undgår jeg at få eller forværre osteomyelit?

Det er svært at forebygge bakteriel betændelse i knoglerne. Du bør være opmærksom på tilstanden, hvis du får smerter i områder, hvor du har fået foretaget operation på knogler og indsat implantater i led og ved knoglebrud, samtidig med at du har feber, kulderystelser og er påvirket alment.

Behandlingen er overvejende antibiotika. Det er derfor vigtigt at følge den langvarige medicinske behandling korrekt for at fjerne de bakterier, som er årsag til betændelsen. Du bør søge læge hurtigt, hvis du får mistanke om, at du har knoglebetændelse.

Hvornår skal jeg søge hjælp? 

Ved tegn på infektiøs sygdom med feber, almen påvirkning og smerter og ømhed lokaliseret til knogle.

Hvordan udvikler sygdommen sig?

De fleste bliver raske efter behandlingen, især børn og unge har gode udsigter til at blive raske igen.

Komplikationer kan være kroniske, langvarige infektioner som det er vanskeligt at få bugt med. Spredning af infektionen til nærliggende knogler og led forekommer også. I nogle få tilfælde bliver der problemer med gentagne tilbagefald af knoglebetændelsen.

Er osteomyelit farligt?

Nej, hvis det behandles i tide, så er den rette antibiotiske behandling effektiv. Behandlingen bør dog indsættes så tidligt som muligt.

Hvor hyppig er osteomyelit?

Akut osteomyelit forekommer hyppigst hos børn og unge voksne. Af de personer under 20 år, som får osteomyelit, er halvdelen under fem år og en tredjedel under to år.

Det er beregnet, at sygdommen i gennemsnit hvert år forekommer hos 10 børn pr 100.000 børn. Drenge bliver ramt lidt hyppigere af sygdommen end piger.

Kan jeg få osteomyelit mere end én gang?

Ja, det er muligt at få det mere end én gang - både det samme sted eller i en anden kropsdel. 

Vil du vide mere?

Kilder

Fagmedarbejdere

Christian Wong

overlæge, ph.d., Ortopædkirurgisk afdeling, Hvidovre Hospital

Erling Peter Larsen

speciallæge i almen medicin, Silkeborg

Indhold leveret af

Patienthåndbogen

Patienthåndbogen

Kristianiagade 12

2100 København Ø

DisclaimerPatienthåndbogen