Ankelartrose, skråoptagelse

ankel-artrose skraa front-roentgen
547

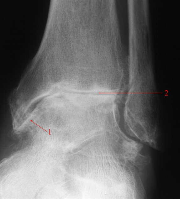
Svær slidgigt (artrose) i et ankelled med fortætning af knoglen - kaldet sclerosering (1) og reduceret bruskhøjde i leddet (2).  

Vil du vide mere?

Har du en kommentar til artiklen?

Bemærk venligst, at du IKKE vil modtage svar på henvendelser, der omhandler din egen sygdom, pårørendes sygdom, blodprøvesvar, hjælp til at udarbejde skoleopgaver og litteratursøgning.

Indhold leveret af

Patienthåndbogen

Lægehåndbogen

Kristianiagade 12

2100 København Ø

DisclaimerPatienthåndbogen