Coxartrose bilateralt

baekken-coxartrose bilateralt-roentgen
567

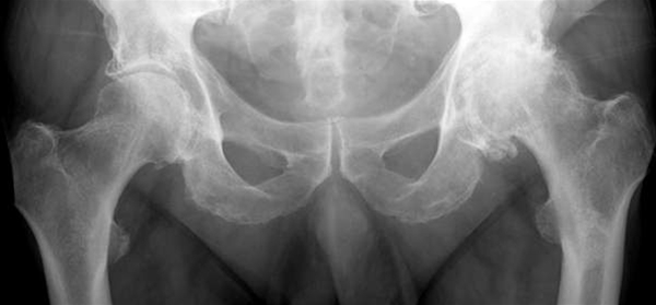
Let artrose i højre hofte med reduceret bruskhøjde og mindre knogleudbygninger omkring ledkanten af caput femoris (venstre side af billedet)

Udtalt artrose i venstre hofteled med næsten udslettet ledbrusk og ledspalte, knogleudbygninger (osteofytter) omkring leddet, subkondral sklerosering og cystiske opklaringer (højre side af billedet).

Vil du vide mere:

Har du en kommentar til artiklen?

Bemærk venligst, at du IKKE vil modtage svar på henvendelser, der omhandler din egen sygdom, pårørendes sygdom, blodprøvesvar, hjælp til at udarbejde skoleopgaver og litteratursøgning.

Indhold leveret af

Patienthåndbogen

Lægehåndbogen

Kristianiagade 12

2100 København Ø

DisclaimerPatienthåndbogen