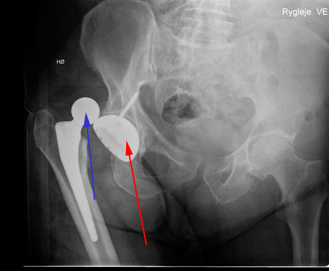
Hofte, proteseluksation, røntgen

Patient med fuld hofteprotese. Røntgenbilledet viser, at protesen er gået af led. Det kunstige ledhoved (blå pil) er gledet bagud af den kunstige hofteskål (rød pil).
Vil du vide mere?
Indhold leveret af
Patienthåndbogen
laegehaandbogen@dadl.dk
Lægehåndbogen
Kristianiagade 12
2100 København Ø
Disclaimer: Patienthåndbogen