Hofte, protese ude af led, røntgen

hofte-protese ude af led-roentgen
7561

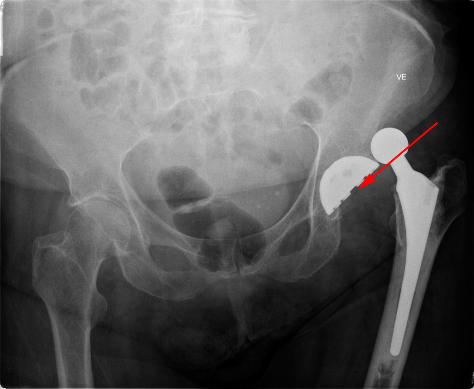
Røntgenundersøgelse af bækkenet viser en hofteprotese (rød pil), som er ude af led (hofteluksation). 

Vil du vide mere?

Har du en kommentar til artiklen?

Bemærk venligst, at du IKKE vil modtage svar på henvendelser, der omhandler din egen sygdom, pårørendes sygdom, blodprøvesvar, hjælp til at udarbejde skoleopgaver og litteratursøgning.

Indhold leveret af

Patienthåndbogen

Lægehåndbogen

Kristianiagade 12

2100 København Ø

DisclaimerPatienthåndbogen