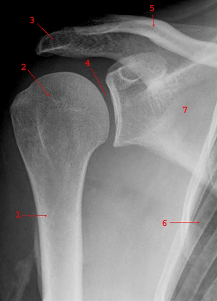
Skulder, røntgen, normal forfra
Figur 1
Normalt forfra billede af højre skulder (AP-projektion)
- Humerus (overarmsknoglen)
- Caput humeri (ledhovedet øverst på overarmsknoglen)
- Acromion (Skulderhøjden)
- Ledspalte
- Clavicula (kraveben)
- Costa (ribben)
- Scapula (skulderblad)

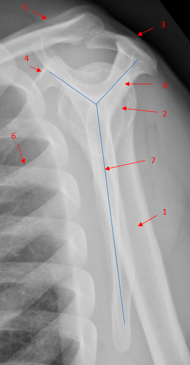
Figur 2:
Normalt lateral billede af skulderleddet (Y-projektion)
Caput humeri skal være centreret over Y´et. Costae ligger foran skulderleddet.
- Humerus (overarmsknoglen)
- Caput humeri (ledhovedet øverst på overarmsknoglen)
- Acromion (Skulderhøjden)
- Processus Coracoideus
- Clavicula (kraveben)
- Costa (ribben)
- Corpus capula (skulderblad)
Se evt. kort film om skulderens anatomi
Indhold leveret af
Patienthåndbogen
laegehaandbogen@dadl.dk
Lægehåndbogen
Kristianiagade 12
2100 København Ø
Disclaimer: Patienthåndbogen