Skulderleds-luksation, røntgen

skulder-skulderleds luksation-roentgen
649

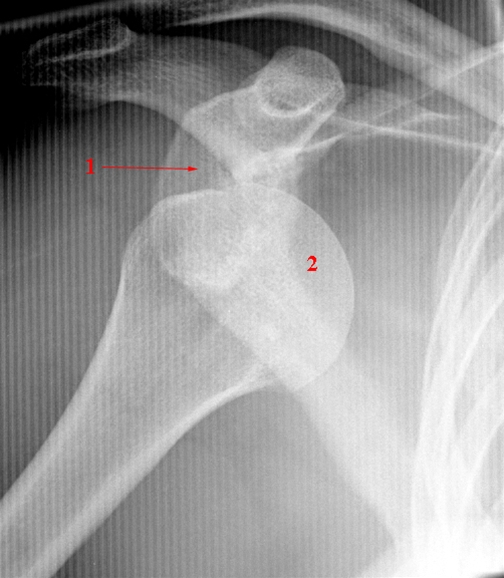
Glenohumeral luksation: Caput humeri Ledhoved (2) er lukseret anteriort og medialt cavitas glenoidalis (ledskålen) (1).

Læs mere om

Eller se kort film om skulderens anatomi

Har du en kommentar til artiklen?

Bemærk venligst, at du IKKE vil modtage svar på henvendelser, der omhandler din egen sygdom, pårørendes sygdom, blodprøvesvar, hjælp til at udarbejde skoleopgaver og litteratursøgning.

Indhold leveret af

Patienthåndbogen

Lægehåndbogen

Kristianiagade 12

2100 København Ø

DisclaimerPatienthåndbogen