Spondylose, røntgen

ryg-spondylose-roentgen
650

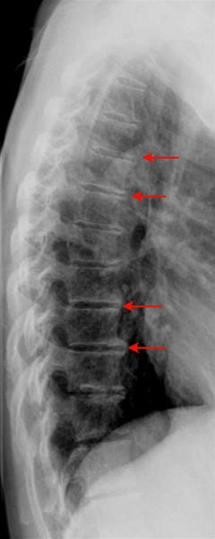
Sidebillede af thoracalcolumna med slitageforandringer i form af randudbygninger, det vil sige forkalkninger langs forkanten af ryghvirvlerne (pilene)

Vil du vide mere?

Har du en kommentar til artiklen?

Bemærk venligst, at du IKKE vil modtage svar på henvendelser, der omhandler din egen sygdom, pårørendes sygdom, blodprøvesvar, hjælp til at udarbejde skoleopgaver og litteratursøgning.

Indhold leveret af

Patienthåndbogen

Lægehåndbogen

Kristianiagade 12

2100 København Ø

DisclaimerPatienthåndbogen