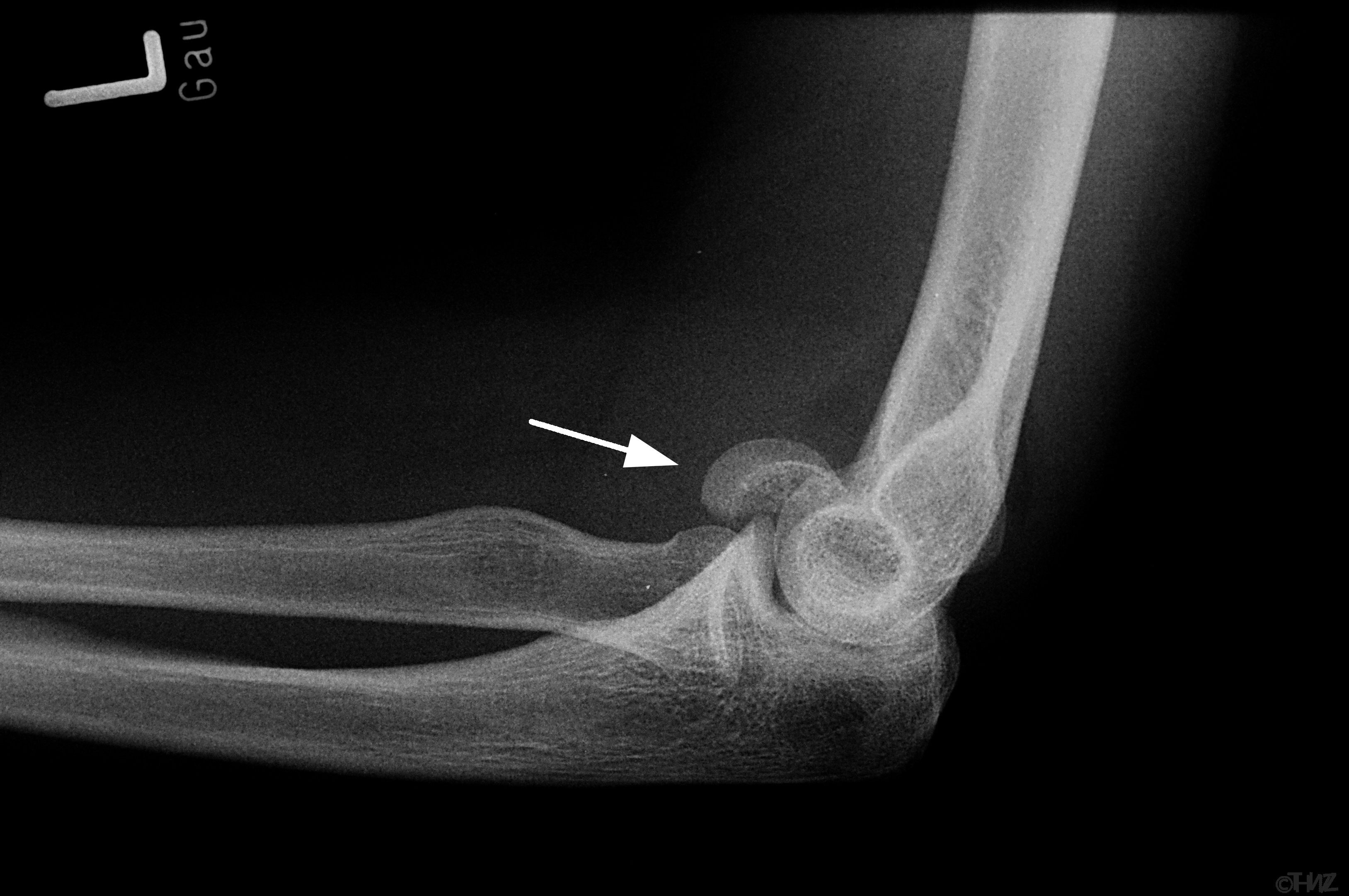
Brud albue, nederste del af overarmen, capitulum humeri

Bo Sanderhoff Olsen

speciallæge

Fakta

  • Albuebrud, der kun er i ledfladen af overarmsknoglen, er ret sjældne
  • Det er dog vigtigt at stille diagnosen, så bruddet kan sættes på plads, og leddets funktion kan sikres på længere sigt
  • Bruddene sker typisk efter fald
  • Røntgenundersøgelse er nødvendig for at stille den korrekte diagnose

Hvad er brud på den nederste del af overarmen, capitulum humeri?

Capitulum humeri er en del af den nederste ende af overarmsbenet (humerus). Det er et mindre fremspring på overarmsknoglen, og udgør en del af selve albueleddet.

Capitulum humeri danner en ledforbindelse til hovedet på spolebenet (radius) i underarmen.

Capitulum humeri fraktur

Hvad er symptomerne på brud i capitulum humeri?

Personen har typisk smerter og indskrænket bevægelighed i albueleddet.

Leddet er ømt og hævet, og huden kan være blålig og misfarvet på grund af blødning.

Hvilke symptomer skal du være særlig opmærksom på?

Nedsat følesans på hånden, og hvis hånden bliver bleg/hvid, tyder det på mulig beskadigelse af kar eller nerver, og du skal straks søge læge.

Hvordan stilles diagnosen?

Skaden opstår typisk ved et fald, hvor du tager fra med armen, og derved får en kraftpåvirkning mod albuen. Der er ofte ingen synlig skade bortset fra, at armen hæver.

Når lægen trykker på ydersiden af albuen, er der ømhed over den del af overarmsbenet, der danner ledforbindelse med spolebenet.

Hvis du forsøger at strække og bøje i albuen, kan bevægelsen være nedsat, og der er modstand, når lægen passivt bevæger armen.

Lægen undersøger samtidig både håndled og skulder for at udelukke skader her.

Bruddet påvises ved en røntgenundersøgelse, men på grund af bruddets placering kan et uforskudt brud være vanskeligt at se ordentligt på almindelige røntgenbilleder, og du skal ofte også have lavet en CT-skanning.

Hvilken behandling er der?

Målet med behandlingen er at få bruddet til at hele uden fejlstilling af knoglen og dermed funktionstab.

Uforskudt brud 

Hvis der ikke er fejlstilling i bruddet, kaldes det for et uforskudt brud.

Uforskudte brud kan ofte behandles med gips eller bandage.

Forskudt brud

Et brud, hvor knogleenderne er forskudt i forhold til hinanden, kaldes et forskudt brud. Forskudte brud behandles normalt ved at sætte knoglen på plads og fastgøre den med små skruer. 

Bruddet skal kortvarigt efterbehandles med bandage eller gips, der holder bruddet og albuen i korrekt position.

Armen skal holdes i ro i 2-3 uger. Derefter kan du, som beskrevet i genoptræningsplanen, begynde bevægetræningen, eventuelt hjulpet af en fysioterapeut.

I nogle tilfælde, særligt hos ældre mennesker, kan lægen foretrække at behandle ved at indsætte et kunstigt albueled.

Hvordan undgår jeg at forværre tilstanden?

Bandageringstiden skal primært sikre ro til heling af bruddet. Senere skal du udføre bevægetræning for at undgå stivhed af albuen.

Hvis bandagen generer, er det vigtigt at lægen kontrollerer, om der evt. er kommet sår under gipsen.

Kontroller

Har du fået gips eller bandage på armen, eller er der foretaget operation, skal du som regel til efterkontrol. Den behandlende læge har lagt en plan herfor, som du skal følge. 

Ved nogle af kontrollerne vil der blive taget røntgenbilleder.

Hvordan udvikler sygdommen sig?

I de fleste tilfælde, hvor der bliver behandlet for uforskudte brud med gips eller bandage, bliver resultatet godt.

Ved alvorligt splintrede brud, der kræver operation, kan der ofte komme varige gener. Det kan være i form af ustabilitet, stivhed, og aflåsninger af leddet og vedvarende smerter.

Hvor hyppig er brud i capitulum humeri?

Brud i capitulum humeri er en meget sjælden brudtype. Den er hyppigst blandt ældre og midaldrende mennesker. Bruddet udgør mindre end 1 % af alle albuebrud.

Bruddet kan være ledsaget af andre brud i albuen.

Vil du vide mere?

Illustrationer

Kilder

Fagmedarbejdere

Bo Sanderhoff Olsen

professor, overlæge, Ph.d., Sektion for skulder og albuekirurgi Herlev/Gentofte Hospital og institut for klinisk medicin KU

Annika Norsk Jensen

speciallæge i almen medicin, ph.d.,

Torben Bæk Hansen

prof., ph.d., overlæge, Ortopædkirurgisk afdeling, Hospitalsenheden Vest, Holstebro

Anne Søndergaard

speciallæge i almen medicin, Trøjborg Lægehus

Indhold leveret af

Patienthåndbogen

Patienthåndbogen

Kristianiagade 12

2100 København Ø

DisclaimerPatienthåndbogen