Røntgen af knoglerne

Thomas Abramovitz Bjerre

Speciallæge

Fakta

  • En almindelig røntgenundersøgelse af knogler består ofte af flere optagelser med forskellige vinkler
  • Røntgenbilledet bliver dannet ved hjælp af røntgenstråler, der sendes gennem den del af kroppen, man ønsker at undersøge
  • Knoglevæv tilbageholder (absorberer) meget af strålerne og fremtræder som hvide skygger på billederne
  • En røntgenundersøgelse af knoglerne udføres for at se, om der er sket skader, fx efter et fald, eller om der er sygdom i led og/eller knogler, fx slidgigt

Hvad er røntgenundersøgelse af knoglerne?

En røntgenundersøgelse af knoglerne er en undersøgelse af bestemte knogler, grupper af knogler eller af led.

Kroppens knoglevæv har følgende funktioner:

  • Det er kroppens skelet - og muliggør bevægelser
  • Det beskytter underliggende væv og organer
  • Det indeholder knoglemarv, som danner blodceller
  • Det fungerer som et lager for calcium (kalk)

Knoglevæv er meget tydelig at se på røntgenoptagelser. Bløddelene rundt om knoglerne ses som skygger af varierende tæthed. Bløddele er fx muskler, sener og fedtvæv

Man kan også se ændringer i bløddelsskyggerne, som skyldes fx hævelser eller væske i et led

Forkalkninger står tydeligt frem. Derimod kan man ikke se fx brusk, ledbånd eller sener.

Røntgenbillede af hånd

Hvad bruges en røntgenundersøgelse af knoglerne til?

Røntgenundersøgelse af knoglerne bliver foretaget for at afklare, om der er skade eller sygdom i knoglevævet.

Undersøgelsen er for det meste rettet mod bestemte knogler eller led og bliver udført, når der er mistanke om brud på knoglen, eller om et led er kommet ud af sin sædvanlige stilling. 

Hvordan forbereder jeg mig til undersøgelsen?

Der er ingen forberedelser til undersøgelsen. Du vil blive bedt om at fjerne fx smykker og lynlåse, hvis de dækker det område, du skal have undersøgt. 

Hvis du er gravid, bør du ikke blive røntgenfotograferet. Sammen med lægen skal du vurdere, om undersøgelsen kan vente.

Hvordan foregår undersøgelsen?

Alt afhængig af hvilke knogler du skal have undersøgt, skal du enten ligge, sidde eller stå, mens billederne bliver taget. Personalet vil sikre, at du er placeret på den korrekte måde.

Gode røntgenbilleder forudsætter, at området, som fotograferes, er helt i ro. Som regel er det nødvendigt at tage billeder fra mindst 2 vinkler for at få en tilfredsstillende fremstilling af knoglen.

Billederne tages normalt vinkelret på hinanden - for det meste forfra og fra siden (se fx albue i 2 projektioner, normalt knæ i 2 projektioner, normalt fodled i 2 projektioner). Mere detaljerede oplysninger om en knogle kan nogle gange kræve flere projektioner (vinkler) fx skråbilleder, eller en supplerende CT- eller MR-skanning.

MR-skanning kan vise brud, som ikke er synlige på røntgenbilledet (fx i håndroden eller i hoften). MR-skanningen er også bedst, når lægen skal vurdere skader på muskler, sener og ledbånd.

Hvad kan en røntgenundersøgelse af knoglerne vise?

Ved hjælp af røntgenundersøgelse af knoglerne kan man se nogle forandringer.

De hyppigste forandringer er:

  • Brud og afrivninger samt følger heraf
  • Luksation/ledskred (et led er kommet ud af sin sædvanlige stilling)
  • Slidgigt
  • Leddegigt
  • Mindsket knogletæthed som skyldes knogleskørhed (osteoporose)

Knoglebrud

Man kan påvise knoglebrud eller have mistanke om knoglebrud, når man på et røntgenbillede finder tydelige eller mindre tydelige brudlinjer.

Nogle gange kan det ses som et brud i knoglestrukturen eller en udbuling af knoglen.

Mistanken kommer også, når man finder en tydelig hævelse i det bløde væv omkring knoglen. Hvis ledfladerne i et led ikke står normalt imod hinanden, kan det skyldes, at leddet er "ude af led" (lukseret).

Nogle gange opstår et knoglebrud, fordi knoglen i forvejen er svag. Det sker ved knogleskørhed, knoglecyster (et væskeholdigt hulrum i knoglevævet) eller i sjældne tilfælde ved spredning af kræft til knoglen.

Ved et knoglebrud står knoglestykkerne ofte skævt i forhold til hinanden. Nogle gange kan de glide forbi hinanden. Det kan være nødvendigt at bringe knoglestykkerne tilbage til udgangspositionen ved operation. Lægen er meget afhængig af at sammenligne billeder før og efter for at være sikker på, at bruddet vokser sammen i korrekt stilling. Derfor bliver knoglebrud kontrolleret med nye røntgenbilleder.

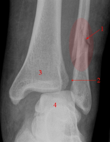
På røntgenbilledet nedenfor er bruddet på anklen markeret med nummer 1, og ses under den røde farve.

Brud på ankel

Forskellige former for gigt 

Den hyppigste sygdom i leddene er slidgigt (artrose). Årsagen til slidgigt er normalt

  • Høj alder
  • Tidligere skade
  • Arvelige betingelser
  • Betændelse

Ved slidgigt vil brusken, som dækker de 2 knogleenheder i leddet, blive tyndere. Det betyder, at rummet mellem de 2 knogler i leddet, ledspalten, bliver smallere.

Andre forandringer som følge af slitage kan være udfældninger af kalk i og rundt om leddet. Der kan være betydelig forskel mellem symptomer, og det man kan se på et røntgenbillede.

Ved smertefulde tilfælde kan røntgenbillederne være normale. Modsat kan der også ses stor slitage på røntgenbilledet uden, at man har nogen særlige gener af det.

Slidgigt i hænderne rammer især de yderste led i fingrene, men hofter og knæ er de mest udsatte steder og mest plagsomme former for slidgigt.

Tegn på leddegigt (artritis) er smal ledspalte, hævelse af blødvævet rundt omkring leddet og nogle gange små defekter i knoglen nær leddet (erosioner).

Tegn på slid er

  • Forkalkninger i og rundt omkring leddet
  • Små knogleudvækster
  • Der dannes cyster i knoglen

Senere i sygdommens udvikling kan leddets form ændre sig.

Leddegigt giver typisk forandringer i de små led i fingre og tæer samt i håndleddene. Store led kan blive angrebet senere i forløbet.

Urinsyregigt (podagra) forekommer næsten altid i storetåens grundled.

Andre knoglesygdomme 

Andre sygdomme, som kan påvises, er

  • Knoglecyster (et væskeholdigt hulrum i knoglevævet)
  • Knoglesvulster (både godartede og ondartede)
  • Betændelse i knoglen (osteomyelitis)
  • Forandringer som følge af forstyrrelser i omsætningen af kalk i kroppen

Generelt skal der være væsentlige forandringer til stede, før man kan se det på en almindelig røntgenundersøgelse. Fx kan op til 50 % af kalken være væk i en knogle, før man kan se det på en almindelig røntgenundersøgelse af knoglerne. 

Hvilke risici er der ved undersøgelsen?

Ved almindelige røntgenundersøgelser af knogler bliver der brugt en meget lille dosis af røntgenstråler. Til sammenligning vil man ofte modtage mindre stråling ved et røntgenbillede af f.eks brystkassen end under en flyvetur. Det skyldes, at man opholder sig højt oppe i luften under flyveturen, hvor den kosmiske stråling er kraftig. Derfor er risikoen ved at blive røntgenfotograferet meget lille.

Vil du vide mere?

Illustrationer

 

Kilder

Fagmedarbejdere

Thomas Abramovitz Bjerre

Cheflæge, Røntgen og Skanning, Regionshospitalet Randers

Dorte Bojer

Alm. prakt. læge, Grenå

Indhold leveret af

Patienthåndbogen

Patienthåndbogen

Kristianiagade 12

2100 København Ø

DisclaimerPatienthåndbogen