Slidgigt i ankelled (ankelartrose)

Torben Bæk Hansen

speciallæge

Fakta

  • Ankelartrose er slidgigt i ankelleddet
  • Symptomerne er primært smerter
  • Ankelartrose opstår som følger til fx brud på anklen, fejlstillinger, leddegigt, betændelser og lignende
  • Ses oftest hos midaldrende mennesker
  • Det kan hjælpe på gangfunktionen og aflaste det slidte brusk i ankelleddet, hvis man anvender sko med god støtte ved anklen, støddæmpning og med indlagt gænge i sålen under hælen
  • Stivgøring af ankelleddet er den hyppigste operative behandling
  • Ankelproteser til personer med svære tilfælde af artrose er blevet et nyt tilbud, men holdbarheden er ikke så god endnu

Hvad er ankelartrose?

Ankelartrose er slidgigtforandringer (artrose) i ankelleddet. Forandringerne opstår oftest kun i det ene ankelled.

Hvilke symptomer giver ankelartrose?

De mest almindelige symptomer er smerter og stivhed i ankelleddet.

Til at begynde med har du især ondt i begyndelsen af fysisk aktivitet. Smerterne går over, når du har været i aktivitet og fået "varmet" leddet op. Senere vil tilstanden ofte udvikles, så smerterne er til stede ved al belastning. Til slut vil du også kunne være generet af smerter i hvile. Det er typisk, at generne er mest udtalte, når du går på hårdt eller ujævnt underlag.

Anklen kan være hævet, og bevægeligheden bliver nedsat efter nogen tid. Du kan begynde at halte på grund af smerter og nedsat bevægelighed.

Skade eller sygdom i leddet øger risikoen for at udvikle artrose. Dette kan fx være brud eller kraftig forvridning som ikke er tilstrækkelig ophelet. Overvægt øger også risikoen for at udvikle artrose.

Hvilke symptomer skal du være særlig opmærksom på?

Det er typisk, at du får ondt, når du belaster leddet. Den forudgående sygehistorie vil give et hint om, at der er tale om slidgigt i ankelleddet.

Hvordan stilles diagnosen?

Generne er typiske. Lægen kan stille diagnosen med stor sikkerhed ved blot at undersøge anklen kombineret med sygehistorien.

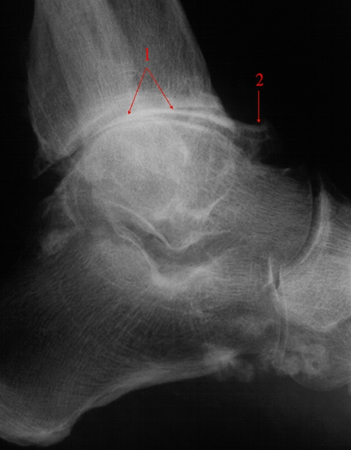
Diagnose kan evt. bekræftes ved røntgenundersøgelse. Den viser nedslidt brusk og eventuelt forandringer i selve knoglen, der ligger op mod brusken.

 

Hvorfor får man ankelartrose?

Ankelleddet består af knogler, der er dækket med et lag brusk. Ved slitage er det i første omgang brusken som bliver slidt ned. Med tiden kan brusken blive så nedslidt, at der er direkte kontakt mellem knoglerne.

Der kan også dannes såkaldte forkalkninger i leddet. Dette medfører, at der ikke længere er glatte ledflader, som glider mod hinanden, og det kan medføre mange smerter.

Hvordan behandles ankelartrose?

Det er en god ide at bruge sko med god støtte ved anklen, støddæmpning og med indlagt gænge i sålen under hælen. Dette kan dæmpe generne og muligvis bidrage til at bremse den videre udvikling.

Det er også vigtigt at undgå overbelastninger og samtidigt udføre en vis fysisk aktivitet for at undgå, at leddet taber bevægelighed.

Hvis du har et arbejde, der medfører større belastninger med gående og stående arbejde, kan det være nødvendigt med omskoling eller at skifte job.

Er du overvægtig, kan det ofte mindske smerterne, hvis du taber sig.

Det kan være en hjælp at behandle med medicin i form af smertestillende præparater og såkaldte NSAID. Som regel vil der kun være behov for medicin i perioder, fx efter belastninger.

I udtalte tilfælde kan operation komme på tale. Dette gælder specielt, hvis du også har smerter i hvile og eksempelvis også om natten. Under operationen stivgøres leddet. Dette fjerner smerterne, men gangfunktionen bliver betydelig reduceret. Efter en sådan operation skal du anvende specielt fodtøj for at kompensere for den nedsatte bevægelighed.

Kunstigt ankelled har gennem mange år været anvendt som kirurgisk behandling, men først med nyere ledproteser og forbedret holdbarhed tilbydes operationen nu til udvalgte patienter med god knoglestruktur, og hvor man skønner, at stivgøring vil give problemer.

Hvad kan jeg selv gøre?

Anvend velstøttende fodtøj evt med gængesål.

Hvordan undgår jeg at få eller forværre ankelartrose?

Du kan muligvis forebygge forværring i slidgigt i ankelleddet ved at anvende sko med god støddæmpning og med indlagt gænge i sålen under hælen.

Hvis du er overvægtig, kan vægttab hjælpe.

Hvornår skal jeg søge hjælp? 

Når du har smerter ved belastning, der begrænser din gang.

Hvordan udvikler sygdommen sig?

Tilstanden vil ofte blive gradvist værre. Men udviklingen af ankelartrose kan muligvis bremses, hvis de forebyggende tiltag sættes ind på et tidligt tidspunkt.

Kun et fåtal af tilfældene udvikler sig så alvorligt, at det bliver nødvendigt at operere.

Hvor hyppig er ankelartrose?

Tilstanden er ikke så hyppig som slidgigt i hofte- og knæled, og ses oftest som følgetilstand til knoglebrud eller fejlstilling.

Se animation om slidgigt 

Vil du vide mere?

Træningsfilm for underben og fod

Illustrationer

Kilder

Fagmedarbejdere

Torben Bæk Hansen

prof., ph.d., overlæge, Ortopædkirurgisk afdeling, Hospitalsenheden Vest, Holstebro

Bo Christensen

professor, ph.d., praktiserende læge, Institut for Folkesundhed - Almen Medicin, Aarhus Universitet

Indhold leveret af

Patienthåndbogen

Patienthåndbogen

Kristianiagade 12

2100 København Ø

DisclaimerPatienthåndbogen