Fakta
- Diagnosen Bechterew stilles ud fra sygehistorie, lægens undersøgelse af ryggen og resten af kroppen, blodprøver, samt billeder af rygsøjle og bækkenled
- Diagnosen stilles af en speciallæge i gigtsygdomme (reumatolog)
Der findes ikke nogen enkelt undersøgelse, som kan bruges til at stille diagnosen.
Diagnosen stilles af en speciallæge i gigtsygdomme (reumatolog) og involverer flere trin:
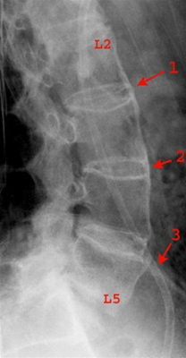
Rygsøjlen og SI-leddene kan undersøges med røntgen. Røntgen vil i de tidlige faser ikke vise noget. Ofte skal sygdommen have stået på i nogen tid, før skeletforandringerne bliver synlige ved en almindelig røntgenundersøgelse.

Det kan derfor være relevant at foretage MR-skanning. MR-skanning vil kunne vise inflammation tidligere i forløbet end de kroniske knogleforandringer, som man kan se på røntgenbilleder.
I de fremskredne stadier af Bechterew er røntgenfundene typiske og giver mulighed for at stille en sikker diagnose. De typiske forandringer ses i overgangen mellem lændehvirvlerne og bækkenknoglerne og i rummet mellem lændehvirvlerne.
Ingen blodprøve kan alene bruges til at stille diagnosen Bechterews sygdom. Der findes nogle prøver, som kan understøtte diagnosen, hvis der samtidig er typiske symptomer.
C-reaktivt protein (CRP: et protein som stiger ved betændelse - inflammation) er ofte let forhøjede. Denne prøve er imidlertid også forhøjet ved andre tilstande fx infektioner. Personer med Bechterews sygdom har ofte lidt lav blodprocent (lavt hæmoglobin), men det kan også skyldes en række andre tilstande.
Omkring 90 % af personer med Bechterews sygdom har en bestemt vævstype kaldet HLA-B27. Selvom tilstedeværelsen af HLA-B27 kan være en indikator, kan det ikke alene bekræfte diagnosen, da denne vævstype også findes hos 8-9 % af den raske danske befolkning.
Der er flere andre mere almindelige tilstande, som kan give symptomer, der ligner dem man ser ved Bechterews sygdom.
Disse inkluderer:
For at skelne Bechterews sygdom fra disse andre tilstand er det vigtigt at give din læge en detaljeret beskrivelse af dine symptomer. En grundig lægeundersøgelse og røntgenbilleder vil ofte være nødvendige for at stille den korrekte diagnose.
Fagmedarbejdere
Indhold leveret af
Patienthåndbogen
Kristianiagade 12
2100 København Ø
Disclaimer: Patienthåndbogen