Lungebetændelse

Thomas Ringbæk

speciallæge

Fakta

  • Lungebetændelse er betændt lungevæv, der kommer efter infektion med bakterier eller virus
  • Symptomerne på lungebetændelse er blandt andet
    • Hoste
    • Åndenød
    • Feber
    • Smerter i brystet når man trækker vejret
  • Smitte sker ofte via dråber, ved hoste eller nys fra en syg person
  • Ældre og personer, der er ekstra udsatte for sygdom, får tilbud om vaccination

Hvad kan jeg selv gøre?

  • Sørg for at give kroppen ro og hvile - men kom ud af sengen om dagen 
  • Hold dig varm 
  • Drik rigeligt med væske 

Hvad er lungebetændelse?

Lunger og bronkier

Lungebetændelse, også kaldet pneumoni på fagsprog, er betændt lungevæv, der kommer efter en infektion med bakterier eller virus.

Lungevævet kaldes også for lungeblærerne (alveolerne), og det er her, at den livsvigtige transport af ilt fra luft til blod foregår.

Når lungevævet bliver betændt, er transporten af ilt dårligere, og man kan derfor få åndenød. Jo større en del af lungen, der bliver ramt, desto mere udtalt kan åndenøden blive. Man skelner mellem bronkitis og pneumoni. Ved bronkitis sidder betændelsen i bronkierne men ikke i lungeblærerne, og der vil ikke være forandringer på et røntgenbillede. I begge tilfælde er der sygdomsfølelse, hoste med slim, åndenød og feber.

Hvad er symptomerne på lungebetændelse?

De fleste personer med lungebetændelse føler sig ret syge. Lungebetændelse opstår gerne efter en infektion i de øvre luftveje - forkølelse, halsbetændelse eller akut bronkitis.

Man får generende hoste, og det kan være sværere at trække vejret fuldt. Feber er et almindeligt symptom, som bliver ved selv efter en uges sygdom. Ofte er der kun feber om aftenen.

Man kan få smerter i brystet, især hvis lungehinden er betændt. Brystsmerter ved lungebetændelse er ofte værre i specielle stillinger, eller når du hoster eller trækker vejret dybt ind.

Billedet nedenfor viser en række af de symptomer, man kan få ved lungebetændelse.

Symptomer ved lungebetændelse

Hvordan opstår symptomerne ved lungebetændelse?

De mindste dele af luftvejene er små luftblærer (alveoler). Det er her, der foregår en udveksling mellem indåndingsluften og blodbanen.

Fra indåndingsluften transporterer ilten (O2) sig over i blodkarrene og derefter rundt i hele kroppen. Samtidig transporteres kuldioxid (CO2), som egentlig er et affaldsprodukt ved kroppens stofskifte, over i alveolerne og bliver udåndet.

Ved lungebetændelse bliver alveolerne efterhånden mere eller mindre fyldt med først væske og siden hen både væske og døde celler (pus). Det gør det svært for ilt og kuldioxid at blive transporteret mellem alveoler og blodbanen. Der kommer til at mangle ilt i blodet, og der kommer for meget kuldioxid i blodet.

Disse forandringer forklarer de fleste symptomer ved lungebetændelse.

Tegningen nedenfor viser forandringerne i alveolerne.

Alveoler ved lungebetændelse

Selvom hoste er et vigtigt symptom som gør, at man søger læge, skyldes hoste langtfra altid lungebetændelse. Ved lungebetændelse får man som et symptom typisk også feber, det gælder også den såkaldte "kolde" lungebetændelse.

Hør lægen fortælle om kold lungebetændelse

Ved alvorlig lungebetændelse, særligt hos ældre mennesker og hos personer som er svækket af anden sygdom, er tilstanden præget af høj feber, dårlig almentilstand og åndenød.

Stærke brystsmerter og hoste med farvet eller blodigt spyt er meget almindeligt ved lungebetændelse, som omfatter en hel lungelap (såkaldt lobær pneumoni).

Hvilke symptomer skal du være særlig opmærksom på?

Hvis man får vedvarende høj feber i over 3 dage efter, at behandlingen med antibiotika er startet, bør man kontakte sin læge igen.

Hoster man blodigt spyt op, og har stærke smerter i brystet, bør man altid søge læge.

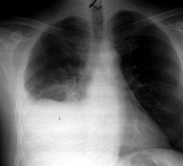
Hvordan stilles diagnosen?

Røntgen af lunger med betændelse

Lægen spørger ind til din sygehistorie og undersøger dig, hvilket kan være tilstrækkeligt til en sikker diagnose.

Blodprøver, som høj CRP og et øget antal hvide blodlegemer, kan styrke lægens mistanke om lungebetændelse.

I enkelte tilfælde ønsker lægen, at der bliver taget et røntgenbillede af lungerne for at bekræfte eller afkræfte, om du har en lungebetændelse.

Hvorfor får man lungebetændelse?

Mange forskellige bakterier, vira og andre mikroorganismer kan angribe lungevævet og fremkalde en lungebetændelse. De kan være svære at påvise ved rutineundersøgelser, og som regel finder man ikke ud af, hvilken mikroorganisme der er skyld i lungebetændelsen.

Smitte sker som regel via dråber, ved hoste eller nys fra en syg person, men generelt er lungebetændelse ikke særlig smitsom. Ofte bliver man syg af sine egne bakterier, som man har i svælget.

Flere ting kan gøre, at man bliver særligt udsat for at få lungebetændelse:

  • Svækket hosterefleks som følge af højt forbrug af alkohol, hjertesygdom, sygdomme i centralnervesystemet eller høj alder
  • Rygning
  • Akut infektion i luftvejene eller akut bronkitis på grund af virus
  • Nedsat immunforsvar eller dårlig almentilstand

Lungebetændelse kan også opstå hos ellers helt raske personer. Blandt alvorlige lungebetændelser skyldes de fleste bakteriegruppen pneumokokker.

Smitter lungebetændelse?

Virale lungebetændelser, fx influenzavira, Covid-19 og RS-virus, mycoplasma og den særlige tuberkelbakterie, smitter, mens de almindelige bakterier ikke smitter.  

Er lungebetændelse arveligt?

Nej.

Hvordan behandler man lungebetændelse?

De fleste personer med lungebetændelse kan behandles hjemme. Det er vigtigt, at du selv sørger for, at kroppen får ro og hvile for at fremskynde helbredelsen.

Hold dig varm og drik rigeligt med væske.

Ved infektioner med bakterier bliver sygdommen behandlet med antibiotika, mens man sjældent bruger medicin ved lungebetændelse, som kommer på grund af virus. Tamiflu kan anvendes ved influenza A og B. 

I alvorlige tilfælde kan det blive nødvendigt at blive indlagt på sygehus.

Hvad kan jeg selv gøre?

Ved lungebetændelse har du brug for hvile, men du skal ud af sengen om dagen. Sørg for at få rigeligt med væske.

Hvordan undgår jeg at få eller forværre lungebetændelse?

Pneumokok-, Corona- og influenza-vaccine 

Pneumokokker er en hyppig årsag til lungebetændelse. Siden 2007 har pneumokokvaccine været en del af børnevaccinationsprogrammet.

Personer over 65 år og personer i særligt udsatte risikogrupper kan blive gratis vaccineret. Vaccinen forebygger de alvorlige komplikationer som fx blodforgiftning og meningitis.

Influenza er en virus, som kan ramme os alle. Risikoen ved influenza er størst, hvis du er over 65 år, har en kronisk sygdom eller er stærkt overvægtig. 

Følgende personer kan blive vaccineret mod influenza og covid-19 fra den 1. oktober: 

  • Personer på 65 år og over
  • Personer under 65 år, som er i øget risiko for et alvorligt forløb
  • Gravide i 2. og 3. trimester
Følgende personer kan desuden blive vaccineret mod influenza fra den 1. oktober:
  • Børn fra 2 til 6 år
  • Førtidspensionister

Man har en øget risiko for at få lungebetændelse i de tilfælde, hvor immunforsvaret er svækket fx:

  • Ved udtalt afkøling
  • Overdreven indtag af alkohol
  • I perioden efter en influenza

Hvis du har fået lungebetændelse og er i behandling, skal du tage tabletterne som foreskrevet og kontakte lægen igen, hvis du ikke får det bedre efter cirka 3 dage.

Hvordan udvikler sygdommen sig?

Der er stor variation i, hvor alvorligt en lungebetændelse kan forløbe. Typen af den mikroorganisme, som ligger til grund for infektionen, samt alderen og den almene tilstand hos den syge, spiller ind.

Hos ældre og personer med svækket immunforsvar er lungebetændelse en alvorlig sygdom, som ofte kræver indlæggelse på sygehus. For de fleste vil en kur med antibiotika dog være tilstrækkeligt til, at sygdommen går over i løbet af 1-3 uger.

Lungesvigt, hvor lungerne ikke kan ilte blodet tilstrækkeligt, kan i sjældne tilfælde kræve behandling i respirator.

Blodforgiftning, hvor bakterierne spredes rundt med blodet, er en sjælden, men en meget alvorlig komplikation.

Se animation om lungebetændelse  

Er lungebetændelse farligt?

Med behandling forløber sygdommen oftest ukompliceret.  Alvorlige tilfælde, der kræver indlæggelse på hospitalet, er typisk småbørn og svækkede ældre personer, og her er dødeligheden cirka 10 %.

Hvor udbredt/hyppig er lungebetændelse?

  • Lungebetændelse er en ganske hyppig sygdom. Cirka 1 % af alle (1 ud af 100) får lungebetændelse i løbet af et år
  • Det er særligt de alleryngste og de ældste aldersgrupper, der er udsat for at få lungebetændelse
  • Sygdommen opstår hyppigst om vinteren

Vil du vide mere?

Kilder

Fagmedarbejdere

Thomas Ringbæk

overlæge, dr.med., Lungemedicinsk afdeling, Hvidovre Hospital

Erling Peter Larsen

speciallæge i almen medicin, Silkeborg

Indhold leveret af

Patienthåndbogen

Patienthåndbogen

Kristianiagade 12

2100 København Ø

DisclaimerPatienthåndbogen