Retinoblastom

oejne - retinoblastom
761

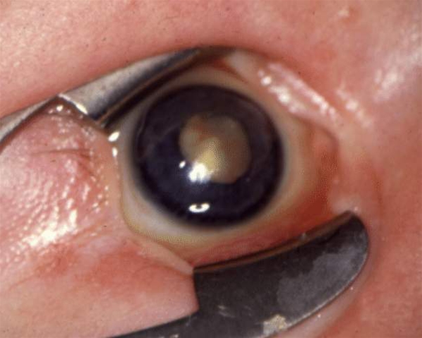
Hvid pupil hos 2 år gammelt barn med retinoblastom.

Vil du vide mere?

Indhold leveret af

Patienthåndbogen

Patienthåndbogen

Kristianiagade 12

2100 København Ø

DisclaimerPatienthåndbogen