Lunger, røntgen, pneumothorax med dræn

lunger-pneumothorax med draen-roentgen
351

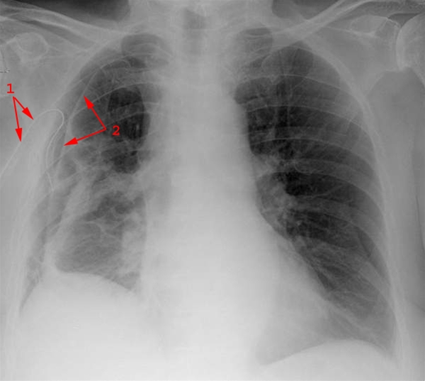
Billedet viser pneumothorax med luftkappe på højre side.
Mellemgulvet er eleveret.
Drænage til pleurahulen (1).

Overfladen af den delvist sammenklappede lunge (2).

Vil du vide mere?

Har du en kommentar til artiklen?

Bemærk venligst, at du IKKE vil modtage svar på henvendelser, der omhandler din egen sygdom, pårørendes sygdom, blodprøvesvar, hjælp til at udarbejde skoleopgaver og litteratursøgning.

Indhold leveret af

Patienthåndbogen

Lægehåndbogen

Kristianiagade 12

2100 København Ø

DisclaimerPatienthåndbogen