Lunger, Pneumothorax, Røntgen

lunger-pneumothorax-rtg front
6516

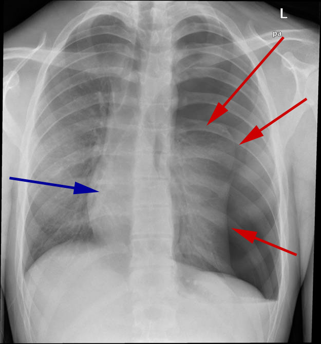
Røntgenbillede af thorax viser, at den venstre lunge er klappet delvist sammen (røde pile viser grænsen), og hjertet (blå pil) er forskudt over mod højre.

Vil du vide mere?

Har du en kommentar til artiklen?

Bemærk venligst, at du IKKE vil modtage svar på henvendelser, der omhandler din egen sygdom, pårørendes sygdom, blodprøvesvar, hjælp til at udarbejde skoleopgaver og litteratursøgning.

Indhold leveret af

Lægehåndbogen

Lægehåndbogen

Kristianiagade 12

2100 København Ø

DisclaimerLægehåndbogen