Lunger, røntgen, atelektase

lunger-atelektase-rtg frontal-ny

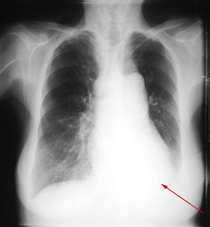
Røntgenundersøgelse af thorax kort tid efter en operation. Man kan ikke se den venstre diafragmakuppel (pilen peger på den manglende diafragmaskygge). Det skyldes en atelektase af den venstre underlap, som ikke længere ventileres. Venstre lunge er volumenformindsket, underlappen ses hvid på billedet (der er ikke luft i den aktuelt).

Vil du vide mere?

Har du en kommentar til artiklen?

Bemærk venligst, at du IKKE vil modtage svar på henvendelser, der omhandler din egen sygdom, pårørendes sygdom, blodprøvesvar, hjælp til at udarbejde skoleopgaver og litteratursøgning.

Indhold leveret af

Lægehåndbogen

Lægehåndbogen

Kristianiagade 12

2100 København Ø

DisclaimerLægehåndbogen