Lunger, røntgen, trykpneumothorax

lunge-ventilpneumothorax-roentgen
367

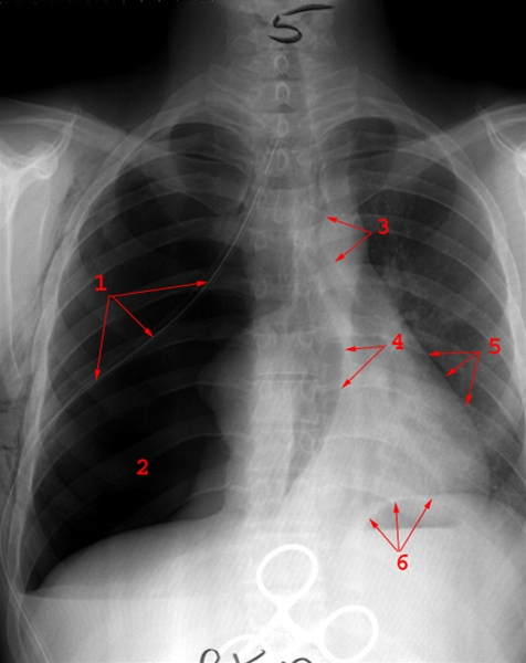
Billedet viser højresidig pneumothorax. Ventileffekt med betydelig overskydning af mediastinum (trykpneumothorax) mod raske side (venstre).

  1. Dræn
  2. Luftfyldt lungehule
  3. Luftveje (pilene står over og under luftrørs deling til hovedbronkierne (carina))
  4. Højresidig hjerteskygge
  5. Venstresidig hjerteskygge
  6. mellemgulvet (Diafragma)

Vil du vide mere?

Har du en kommentar til artiklen?

Bemærk venligst, at du IKKE vil modtage svar på henvendelser, der omhandler din egen sygdom, pårørendes sygdom, blodprøvesvar, hjælp til at udarbejde skoleopgaver og litteratursøgning.

Indhold leveret af

Lægehåndbogen

Lægehåndbogen

Kristianiagade 12

2100 København Ø

DisclaimerLægehåndbogen