Lungefibrose, HRCT

lunger-lungefibrose-ct
341

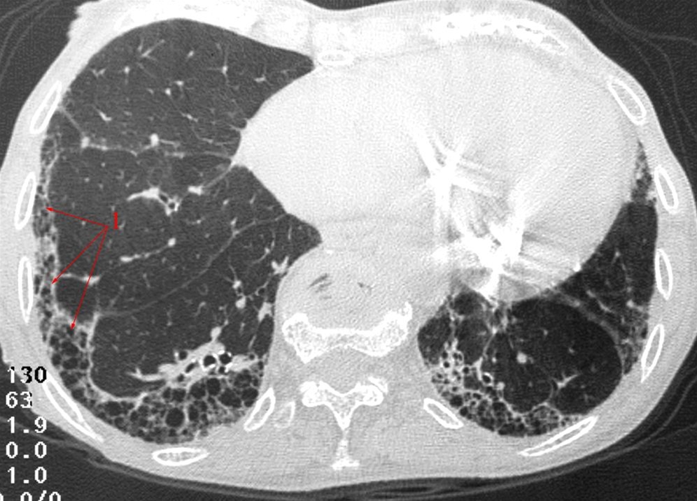
HRCT (high resolution CT).

Tyndt CT-snit med stribeformede fortætninger, overvejende subpleuralt i periferien af begge underlapperne (1), såkaldt "bikubemønster", som ses ved lungefibrose.

Vil du vide mere?

Har du en kommentar til artiklen?

Bemærk venligst, at du IKKE vil modtage svar på henvendelser, der omhandler din egen sygdom, pårørendes sygdom, blodprøvesvar, hjælp til at udarbejde skoleopgaver og litteratursøgning.

Indhold leveret af

Lægehåndbogen

Lægehåndbogen

Kristianiagade 12

2100 København Ø

DisclaimerLægehåndbogen