Tåbrud

Søren Kold

speciallæge

Fakta

  • Knoglebrud i tæerne er meget almindelige
  • De opstår fx. når foden rammer ind i oversete kanter og døre
  • Ved fejlstilling sættes tæerne på plads og fæstnes med et plaster
  • Det er kun forskudte knoglebrud i storetåen, som behandles med operation
  • Du vil have smerter i en kortere periode
  • Prognosen er god

Foden

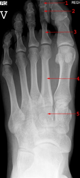
Røntgenbillede af fod set fra oven
 

Foden består totalt af 26 knogler. På billedet ses: 1) yderstykke af 2. tå. 2) mellemstykke af 2. tå. 3) grundstykke af 2. tå. 4) mellemfodsknogle (metatars). 5) kileben (cuneiforme intermedia).

I bagfoden findes hælbenet (calcaneus) og ankelrullebenet (talus).

I mellemfoden findes bådbenet (naviculare), terninge-benet (cuboideum) og de 3 såkaldte cuneiforme-knogler (kileben).

Forfoden består af 5 mellemfodsknogler (metatarser) og 14 tåknogler (falanges). Rørknogler har en smal og lang midterste del (skaftet), og knoglen er tykkere ved leddene. 

Hvad er symptomerne på tåbrud?

Smerter i tåen og blodudtrædning samt direkte og indirekte trykømhed. 

Hvordan stilles diagnosen?

Diagnosen er ofte let at stille rent klinisk og en røntgenundersøgelse bekræfter diagnosen.

Hvordan behandles tåbrud?

Målet er at sikre god opheling og genskabe fodens normale funktion.

Førstehjælp kan begrænse skadeomfanget:

  • Nedkøling
  • Afstivning (fx. med tape)
  • Hæv foden (fx. med puder)
  • Smertestillende

Normalt behøves ingen aktiv behandling eller afstivning af tåbrud, men brud som er ude af stilling skal ofte sættes på plads.

Efterfølgende kan det være aktuelt at tape den skadede tå til nabotåen (læg gaze eller lignende mellem tæerne) i 3 uger.

Denne afstivning skal eventuelt vare noget længere ved ustabile brud.

Der vil ofte være god smertestillende effekt af sko med stive såler.

Selv om bruddet behøver 3-8 uger for at hele, vil smerterne som regel forsvinde lang tid før.

Du behøver som regel ikke komme til en rutinekontrol.

Hvad kan jeg selv gøre og hvordan undgår jeg at forværre tåbrud?

Beskyt tåen mod nye stød og brug rummeligt fodtøj, der ikke trykker mod tåen.

Hvornår skal jeg søge hjælp? 

Ved vedvarende smerter, eller hvis der er sår på tåen.

Komplikationer og langtidsudsigterne

Prognosen er god, hvis du bliver behandlet rigtigt og med tilfredsstillende resultat i den akutte fase.

Hvor hyppigt er tåbrud?

Tåbrud er meget hyppige knoglebrud. Sidder tåen i den normale stilling, behøver du ikke få taget et røntgenbillede. Det gælder dog ikke for storetåbrud.

Andre brud i foden

Vil du vide mere?

Video

Kilder

Fagmedarbejdere

Søren Kold

klin. prof., overlæge, ph.d., Klinisk Institut, Aalborg Universitet og det ortopædkirurgiske speciale, Aalborg Universitetshospital

Erling Peter Larsen

speciallæge i almen medicin, Silkeborg

Indhold leveret af

Patienthåndbogen

Patienthåndbogen

Kristianiagade 12

2100 København Ø

DisclaimerPatienthåndbogen