Sinding Larsens sygdom

Christian Wong

speciallæge

Resumé

Diagnose

  • Sinding-Larsen syndrom er en traktions apophysitis med ømhed og fortykkelse af patellar senen svarende til patellas nedre pol hos børn i 10-14 årsalderen. Dette er en klinisk diagnose, hvor man skal udelukke anden sygdom omkring knæet ved atypiske symptomer og kliniske fund

Behandling

  • Initialt aflastning for symptomlindring samt evt. kuldepakninger og peroral smertelindring
  • Tidlig igangsætning af et rehabiliteringsprogram med genoptræning

Henvisning

  • Bør kun gøres ved mistanke om anden sygdom i eller omkring knæet (med behov for specialistvurdering)

Diagnose

Diagnostiske kriterier

  • Sinding-Larsen syndrom er en traktions apophysit med ømhed og fortykkelse af patellar senen svarende til patellas nedre pol hos børn i 10-14 årsalderen. Dette er en klinisk diagnose, hvor man udelukker anden sygdom omkring knæet  ved atypiske symptomer og kliniske fund

Sygehistorie

  • Forekommer hos børn i alderen 10-14 år. Manifesterer sig som smerter eller ømhed evt. hævelse over nedre pol af patella. Dette forårsager halten og / eller nedsætter aktivitet
  • Smerterne forværres ved aktivitet med løb, spring, og hop og aftager i hvile

Kliniske fund

  • Ømhed og evt. hævelse svarende til patellas nedre pol

Supplerende undersøgelser i almen praksis

  • Patienten skal ikke have atypiske klager (smerter om natten, smerter, der ikke er relateret til aktivitet, akut smerteudbrud, tilknyttede systemiske klager som nattesved og vægttab, smerter, som ikke stammer fra patellas nedre pol eller tegn på et brud på patella (såkaldt patella sleeve fraktur, som har relation til løsning af den bruskede del af patella fra den forbenede del)
  • Ved patella sleeve fraktur vil patienten ikke være i stand til at tage fire skridt og vil have betydelige smerter ved brug af quadriceps-musklen
  • Patienten bør ikke have knæ effusion eller ligamentær løshed i knæet

Andre undersøgelser hos specialist

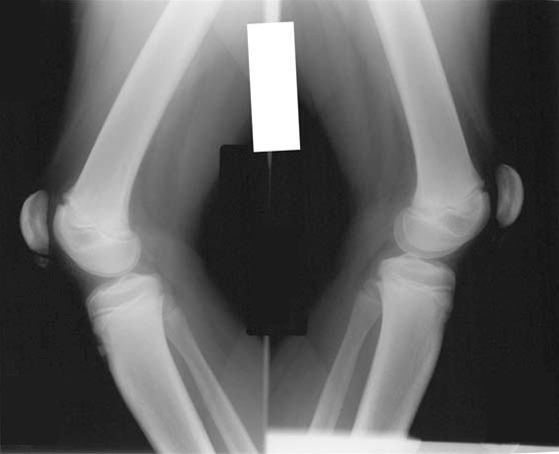
Røntgen

Radiologisk undersøgelse er ikke obligatorisk, hvis der er karakteristisk klinik, men bør udføres i differentialdiagnostisk øjemed ved atypiske klager og objektive fund.

Sinding-Larsen-Johanssons sygdom

  • De radiologiske forandringer kan vise ossøs fragmentering
  • Lateral projektioner kan vise forkalkninger nedenfor nedre pol af patella, i patellarsenen, såvel som bløddelshævelse over forkalkningerne. Forkalkningerne er almindeligvis inkorporeret i nedre pol af patella
  • Disse fund indikerer Sinding-Larsen-Johanssons sygdom, men de kan dog være tilstede hos raske  
  • Patienter med Osgood-Schlatters sygdom kan have lignende røntgenfund, men de er lokaliserede til det distale fæste for patellasenen på forreste tuberositas tibia
  • Ultralyd kan også demonstrere fragmentering af patellas nedre pol, patellar senefortykning og infrapatellar bursitis

Differentialdiagnoser

Behandling

Behandlingsmål

  • Initialt aflastning, symptomlindring og sidenhen genoptræning

Generelt om behandlingen

  • Sinding-Larsen syndrom er en godartet og selvbegrænsende tilstand
  • Konservativ behandling med genoptræning kan opdeles i 2 faser. Den indledende fase af rehabilitering er fokuseret på at reducere smerte, og i den sene fase rehabilitering og øvelser
  • Undgå belastende aktiviteter, hvis smerterne bliver for generende/symptom provokerende. Graden af smerter bestemmer aktivitetsniveauet. Man anbefaler som regel ikke fuldstændig at undgå idrætsaktiviteter. Tværtimod anbefales det at dyrke passende idræt, selv tidligt i forløbet

Håndtering i almen praksis

  • Ved typiske kliniske fund og anamnese og uden mistanke om anden sygdom bør behandlingen varetages i almen praksis med fokus på konservativ behandling

Råd til patienten

  • Ro og relativ aflastning i forhold til aktiviteter som giver smerter, dvs. at barnet må deltage i aktiviteten, så længe det ikke har symptomer (se anden behandling)
  • Ved akutte smerter kan området nedkøles med kuldepakning
  • Kompression, tapening under patellas nedre pol for at "løfte" patella op, hvis generne er udtalte
  • Tilstanden kan bedres ved genoptræning/øvelser (se anden behandling)

Medicinsk behandling

  • Analgetika med paracetamol og NSAID efter forskrifter 
  • Kuldepakning ved akutte smerter
  • Ved svære tilfælde viser nyere undersøgelser at injektioner med dextrose eller platelet rich plasma kan være en mulighed

Anden behandling

  • Genoptræning er hovedhjørnestenen i behandlingen og kan opdeles i 2 faser
  • Den indledende fase af rehabilitering er fokuseret på at reducere smerte, hvilket kræver at de belastninger, der påvirker på patellar senen, reduceres. Under hele rehabilitering er det vigtigt at overvåge senebelastningen for at optimere bedring ved fx 'et bens squat'
  • Tidligt i rehabiliteringsprogrammet bør aktiviteter, der giver en stor belastning på senen, undgås, selv om det også er vigtigt at undgå 'hvile' det påvirkede ben fuldstændigt. Tidligt  startes med udstrækning og isometrisk styrke øvelser
  • I den senere fase kan udføres kontrolleret, progressiv træning med tung belastning, herunder excentrisk styrkelse, når smerter aftager. Der er som sagt to typer træning, excentrisk træning og tung langsom modstand (TLM) træning, som bruges til rehabiliteringsfasen. Excentrisk træning involverer musklerne, der forlænges under en belastning. TLM træning involverer, at man udfører øvelsen mod tung modstand gennem det funktionelle 'range of motion'. Rehabiliteringsprogrammet nedenfor indeholder elementer fra begge tilgange 

Kirurgi

  • Det er ikke indiceret. Det er beskrevet, at man kan udføre debridement af patellarsenen, hvis tilstanden ikke responderer på konservativ behandling

Forebyggende behandling

  • Konservativ behandling med initial peroral smertestillende behandling, kuldepakninger i det smertefulde område ved akutte smerter og genoptræning som beskrevet

Henvisning

  • Behandling er konservativ og forestås i almen praksis. Henvisning bør ikke være nødvendig. Det er vigtigt, at konservativt behandling bliver fulgt, da compliance er nødvendigt for et godt forløb, ellers kan det blive til en svær smertefuld og funktionshindrende tilstand

Opfølgning

  • Opfølgning er særdeles nødvendigt for at sikre compliance. Her kan bruges et-bens 'squat' (sidde på hug) for at overvåge symptomer, og til at vurdere om det er muligt at  vende tilbage til almindelige (sports-)aktiviteter. Ved gentagne opfølgninger kan bedringen monitoreres, idet smerterne vil formindskes ved opheling. Patienten vil være i stand til at sidde på hug med tiltagende mindre ubehag

Sygdomsforløb, komplikationer og prognose

Sygdomsforløb

  • Forbigående sygdom hvor aktiviteten skal tilpasses graden af gener
  • Sygdommen går gradvis over i løbet af 12-18 måneder, men kan vare længere, hvis patienten ikke følger behandlingen (se opfølgning)

Komplikationer

  • Ved manglende compliance kan det blive til en svær smertefuld og funktionshindrende tilstand, som står på i længere tid end nødvendigt

Prognose

  • God. Men forløbet bliver protraheret og med flere smerter ved manglende compliance

Baggrundsoplysninger

Definition

  • Sinding-Larsen (Johanssons) sygdom er en traktionsapofysit af apex patellae1
  • Opstår hos børn og unge som ikke er udvokset
  • Fælles skademekanisme med Osgood-Schlatters sygdom
  • Er det samme som jumpers knee, som er patellas sene og quadriceps tendinit hos voksne
  • Tilstanden blev i 1921 og 1922 uafhængig af hinanden beskrevet af Sinding-Larsen og Johansson

Forekomst

  • Ganske hyppig hos børn i vækst
  • Debuterer gerne i 10-13 års alderen2

Ætiologi og patogenese

  • Årsagen er repetitive traumer, som opstår ved for eksempel hop. Patogenesen er ligesom ved Osgood-Schlatters sygdom3
  • Tilstanden opfattes nu som et traktionsfænomen af patella senen, som fører til tendinit i det proksimale fæste for patellarsenen
    • Små afrivninger og inflammation i patellasenens fæste på apex patellae, som fører til avulsion af det sekundære ossifikationscenter ved den inferiore pol af patella. Udløses af overaktivitet og gentagne mikrotraumer
    • Quadriceps vokser og udvikler sig, før apofysen er fusioneret med patella
  • Tendinitten efterfølges af forkalkninger eller forbening
  • Brud på patella eller afrivning kan forekomme, men er sjælden (sleeve fraktur)

Disponerende faktorer

  • Højt fysisk aktivitetsniveau

ICPC-2

ICD-10/SKS-koder

Patientinformation

Hvad findes der af skriftlig patientinformation

Link til vejledninger

  • Forløbsbeskrivelser og regionale pakkeforløb

Illustrationer

Plancher eller tegninger

Kilder

Referencer

  1. Albert C Hergenroeder, Joseph Chorley, Richard G Bachur, James F Wiley, II. Approach to chronic knee pain or injury in children or skeletally immature adolescents. 2016. Vis kilde
  2. Atanda A Jr, Shah SA, O'Brien K. Osteochondrosis: common causes of pain in growing bones. Am Fam Physician. 2011; 83.; 285-91. Vis kilde
  3. Mark C Clark, Gary R Fleisher, Jan E Drutz,James F Wiley, II. Overview of the causes of limp in children. Feb. 2016. Vis kilde

Fagmedarbejdere

Christian Wong

overlæge, ph.d., Ortopædkirurgisk afdeling, Hvidovre Hospital

Erling Peter Larsen

speciallæge i almen medicin, Silkeborg

Har du en kommentar til artiklen?

Bemærk venligst, at du IKKE vil modtage svar på henvendelser, der omhandler din egen sygdom, pårørendes sygdom, blodprøvesvar, hjælp til at udarbejde skoleopgaver og litteratursøgning.

Indhold leveret af

Lægehåndbogen

Lægehåndbogen

Kristianiagade 12

2100 København Ø

DisclaimerLægehåndbogen