Lichen planus

Tove Agner

speciallæge

Resumé

Diagnose

  • Lichen planus kaldes også for lichen ruber, diagnosen stilles ud fra klinik og biopsi
  • Rammer op til 2 % af befolkningen, mest midaldrende kvinder
  • Stærkt kløende hudlidelse med kantede blå-røde papler og hvide tynde linjer lokaliseret omkring ankler og håndled
  • Kan blive udbredt til hele kroppen
  • Findes i en hypertrofisk form lokaliseret til crura
  • 65% med lichen planus har slimhindeaffektion
  • Slimhindeaffektion er en præcancrøs tilstand, og patienterne følges normalt 1 gang årligt

Behandling

  • Potente binyrebarkhormoncremer
  • Immunsupprimerende systemisk behandling i speciallægeregi (hudlæge)

Henvisning

  • Diagnostik, behandlingsstart i dermatologisk regi
  • Opfølgning evt. i dermatologisk regi

Diagnose

Diagnostiske kriterier

  • Typisk udslæt på huden med blåviolette kantede papler
  • Slimhindeinvolvering
  • Karakteristisk histologi

Differentialdiagnoser ved slimhindeinvolvering

Sygehistorie

  • Ret pludseligt opstået kløende hududslæt ved håndled og ankler
  • Rammer især midaldrende, hyppigere hos kvinder end mænd
  • Hos 65% forekommer involvering af slimhinde oralt eller genitalt
  • Hudsymptomerne svinder gradvist over nogle år, men slimhindelæsionerne er mere kroniske

Kliniske fund

  • Predilæktionssteder er flexorsiderne ved håndled og ankler, femora, crura og sakral-/glutealregionen, men udslættet kan også være dissemineret
  • Sygdommen er ledsaget af stærk kløe

Hudforandringer

  • Kantede, polygonale, flade papler
  • De enkelte papler sidder mosaikagtigt ordnet i tætstillede grupper
  • Köbners fænomen forekommer, dvs. lokale traumer mod huden kan udløse udslættet
  • Paplerne er blåligt-røde med glinsende overflade, og tynde hvide linjer (Wickhams striae)
  • Lichen planus kan ses i en hypertrofisk variant, hyppigst lokaliseret på crura
  • Postinflammatorisk hyperpigmentering efter opheling er karakteristisk

Slimhindeforandringer

  • Hvidlige maculae og striber af netagtig karakter (netmelontegning), som kan udvikle sig til mere atrofiske eller erosive områder. Kindslimhinden er hyppigst afficeret, men tungen, gingiva og læber kan også være ramt
  • 15-30 % har kun slimhindeforandringer
  • Genital slimhindeaffektion - vulva/glans - forekommer hyppigt ved både kutan og oral lichen planus

Andre symptomer

  • Negledystrofi ses hos 10 %, hyppigst ses en abnorm længdestribning af neglen

Typisk udslæt ved lichen planus.

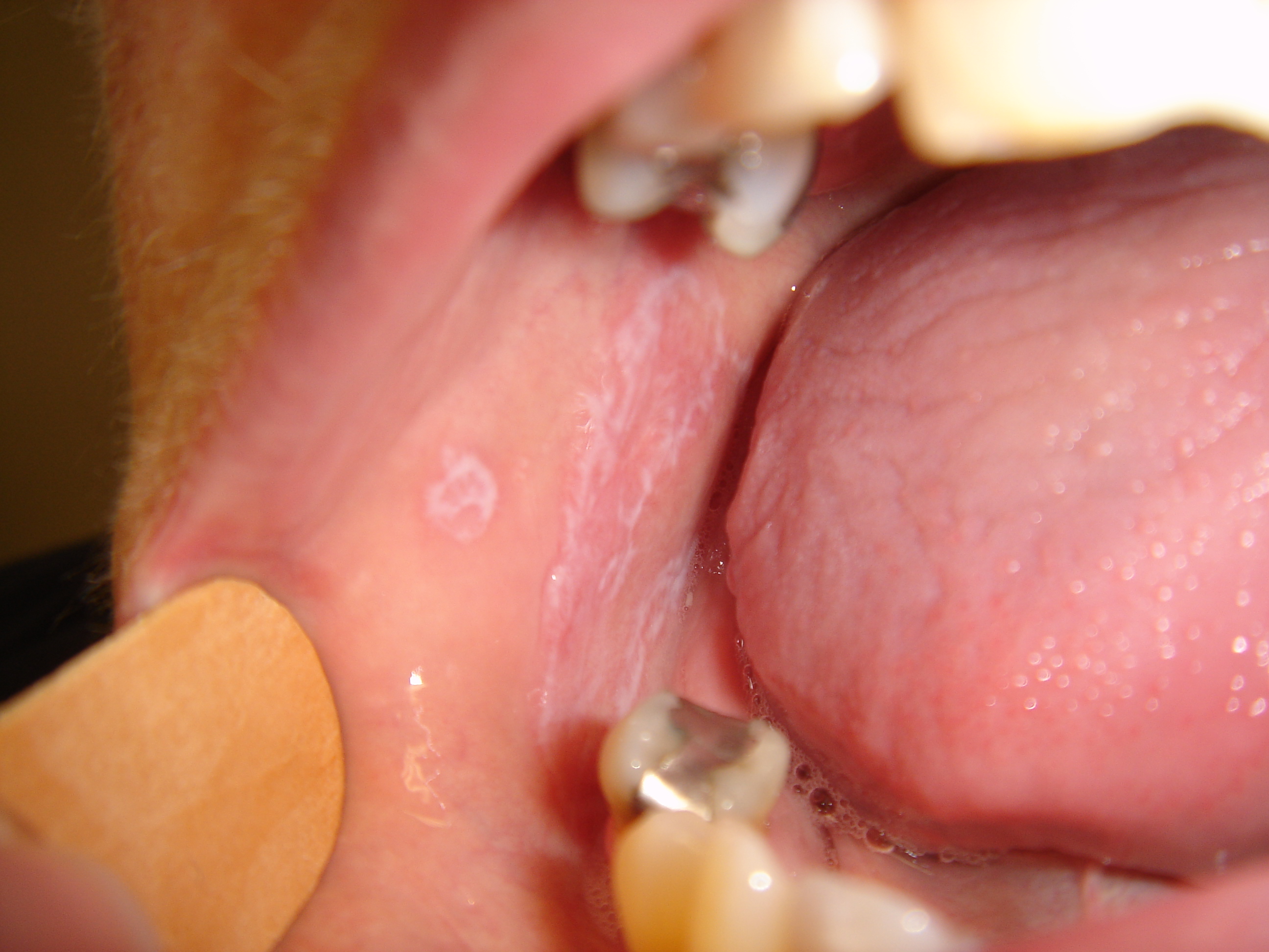
Slimhindeforandringer ved lichen planus.

Billede venligst udlånt af danderm.dk

Ofte ses en abnorm længdestribning af neglen ved lichen planus.

Lichen planus i håndflade.
 

Supplerende undersøgelser i almen praksis

  • Spørg ud til forandringer genitalt - patienten oplyser ikke altid om det, og tidligt indsættende behandling er vigtigt her

Andre undersøgelser hos specialist eller undersøgelse på sygehus

  • Biopsi fra hud og/eller slimhinder for at sikre diagnosen
  • Ved erosive mundhulelæsioner kan det være aktuelt at foretage immunfluorescensundersøgelse på væv for at skelne fra sygdomme i pemphigusgruppen

Differentialdiagnoser

Ved kutan lichen planus:

  • Psoriasis
  • Lichenisering kan forekomme ved psoriasis
  • Kontakteksem
    • Lichenoide læsioner i mundslimhinden kan ses ved kontakteksem i mundhulen (sjældent)
  • Medikamentel eksantemer
  • Graft-versus-host reaktion (GVH)
    • Lichenoide læsioner i mundslimhinden kan ses ved GVH

Behandling

Behandlingsmål

  • Symptomlindring
  • Dæmpe kløen
  • Dæmpe inflammationen
  • For genital lichen planus: Forhindre agglutination af slimhinden, behandlingen skal være hurtigt indsættende og effektiv

Generelt om behandlingen

Håndtering i almen praksis

  • Ses i specialistregi med henblik på diagnose og behandlingsstart
  • Opfølgning 1 gang årligt, da lichen planus på slimhinder er en præcancrøs sygdom

Råd til patienten

  • Informere om opfølgning 1 gang årligt ved slimhindeaffektion

Medicinsk behandling

  • Lokale steroider
    • Potente steroider er nødvendige for at modvirke den intense kløe
    Systemisk steroid
    • Ved akut dissemineret lichen planus kan systemisk steroid gives kortvarigt, mens anden behandling startes
  • Slimhindeaffektion
    • Lokalsteroid er også førstevalgsbehandling til slimhindelæsioner
    • Oral lichen planus er ofte ret behandlingsresistent
    • Lokalbehandling med tacrolimus ved utilstrækkelig effekt af lokalsteroid. Foregår i hudlægeregi og med jævnlige kontroller
    • Systemisk antiinflammatorisk behandling i hudlægeregi kan være nødvendig 

Anden behandling

  • Behandlingsalternativer i hudlægeregi ved kronisk lichen planus kan være PUVA, systemisk immunsupprimerende behandling

Forebyggende behandling

  • Lichen planus kan ikke forebygges

Henvisning

  • Med henblik på diagnostik og start af behandling
  • Dissemineret Lichen planus behandles hos hudlæger

Opfølgning

  • Opfølgning 1 gang årligt ved slimhindeaffektion

Sygdomsforløb, komplikationer og prognose

Sygdomsforløb

  • Kan vedvare i måneder og år
  • Kan også være recidiverende
  • Slimhindeaffektion er ofte kronisk

Komplikationer

  • Ved slimhindeaffektion genitalt ses agglutination som er irreversibel. OBS: at dette kan forebygges ved tidligt indsættende effektiv behandling

Prognose

  • Prognosen er god med spontan tilbagegang af symptomerne hos de fleste i løbet af 1-2 år
  • I enkelte tilfælde bliver lidelsen kronisk, især lichen planus på slimhinder
  • Recidiver er hyppige
  • Lichen planus på slimhinder kan være et forstadie til  pladeepitel cancer, og det er derfor vigtigt at tage biopsier ved behandlingsresistente eller progredierende slimhindelæsioner Opfølgning en gang årligt tilrådes. Nyere studier tyder dog på en transitionsrate til cancer på 1,2 eller derunder, hvilket er lavere end tidligere antaget

Baggrundsoplysninger

Definition

  • Lichen planus, som også kaldes lichen ruber, er en inflammatorisk hud- og slimhindesygdom
  • Hyppigt forekommende, stærkt kløende hudlidelse, som ses som små, kantede, blåligt-røde papler, mest udtalt omkring håndled og ankler
  • Slimhinder er ofte involverede, hyppigst mundslimhinden som ses med hvide streger eller striber ("netmelontegning"), men genitalslimhinden kan også være medinddraget

Forekomst

  • Tilstanden er hyppig og forekommer hos 0,3-2 % af befolkningen
  • Sygdommen rammer oftest midaldrende, og kvinder rammes hyppigere end mænd

Etnicitet, klima og geografi

Lichen planus optræder tilsyneladende med samme hyppighed over hele verden.

Der er en tendens til at den hypertrofiske variant ses hyppigere i mørk hud, hvor der også ses postinflammatorisk hyperpigmentering af læsionerne

Ætiologi og patogenese

  • Ætiologi
    • Ingen kendt årsag
  • Patologi
    • T-celler er dominerende i det dermale infiltrat
    • Kutan lichen planus er den hyppigste form, mens den orale variant står for 15-35 % af tilfældene
    • Slimhindeaffektion forekommer hos op til 65 % af patienter med kutan lichen planus. Tilsvarende findes hudforandringer hos 15-30 % af patienter med oral lichen planus

Disponerende faktorer

  • En række lægemidler kan udløse et lichenoidt,  lichen planus-lignende udslæt
  • Arbejde med visse fotokemikalier kan udløse lichen planus-lignende forandringer
  • Der er en overhyppighed af hepatitis-C hos patienter med lichen planus

ICPC-2

ICD-10/SKS-koder 

Patientinformation

Link til patientinformation

Link til vejledninger

  • National klinisk retningslinje (er der én på området - indsæt link her: )
  • National behandlingsvejledning fra specialeselskab (er der én på området - indsæt link her: ) nej
  • Eventuelle links til andre vejledninger (indsæt venligst links nedenfor)
  • Forløbsbeskrivelser og regionale pakkeforløb

Illustrationer

Billeder

  

Eksantemet ved lichen planus er præget af blåligt-røde papler med glinsende overflade, og tynde hvide linjer (Wickhams striae).

  

Erosiv oral lichen planus på tunge.

Lichen planus kan undertiden ses i en hypertrofisk form, og er også her stærkt kløende.

Karakteristiske lichen planus med millimeter til 1 cm store kantede, polygonale, blålig-røde papler, som hæver sig plateauformet over den omgivende hud.

Slimhindeforandringer ved lichen planus forekommer hyppigt og karakteriseres af et netværk af hvide streger (netmelontegning).

  

Lichen planus, karakteristiske hudforandringer.

Erosiv oral lichen planus giver svære symptomer (svie, smerter, vanskeligheder med fødeindtagelse). 

Plancher eller tegninger

Kilder

Fagmedarbejdere

Tove Agner

overlæge, dr. med., Dermatologisk-venerologisk afd., Bispebjerg Hospital

Annika Norsk Jensen

speciallæge i almen medicin, ph.d.,

Har du en kommentar til artiklen?

Bemærk venligst, at du IKKE vil modtage svar på henvendelser, der omhandler din egen sygdom, pårørendes sygdom, blodprøvesvar, hjælp til at udarbejde skoleopgaver og litteratursøgning.

Indhold leveret af

Lægehåndbogen

Lægehåndbogen

Kristianiagade 12

2100 København Ø

DisclaimerLægehåndbogen