Thymom

Thue Bisgaard

speciallæge

Resumé

Diagnose

  • Thymom er en sjælden retrosternal proces
  • Thymom dækker over neoplasi med sjælden malignt potentiale
  • Thymom opdages ofte tilfældigt ved thorakale symptomer eller som neoplastiske symptomer som f.eks. myastenia gravis

Behandling

  • Prognosen afhænger af tumorstadiet (Masaoka stadie I-IV) asao for neoplasi og carcinom
  • Behandling er kirurgi - og ved carcinom efterfulgt af onkologisk behandling

Henvisning

  • Mistanke om retrosternal turmor ved tilfældigt fund ved billeddannende undersøgelse
  • Thorakale symptomer med retrosternal kompression (tiltagende åndedrætsbesvær, hoste og synkebesvær)
  • Paraneoplastiske symptomer

Seneste væsentlige ændringer

  • Der forekommer ikke væsentlig ny evidens siden sidste revision
  • Et thymom (thymus, på dansk bristel) er en sjælden benign neoplastisk proces, som opstår anteriort i mediastinum umiddelbart bag sternum - og er med et malignt potentiale. Thymom adskiller sig fra et thymisk carcinom
  • Der et en stærk association med myastenia gravis og andre paraneoplastiske syndromer
  • Ses sjældent hos børn

Diagnose

Diagnostiske kriterier 

  • Typiske radiologiske fund ved røntgen og CT-scanning

Sygehistorie

Thymom neoplasi og thymom carcinom præsenterer sig oftest på 1 af 3 måder: 

  1. En tredjedel af thymompatienterne er asymptomatiske, og det opdages derfor tilfældigt ("red cell aplasi") med påvirkning af de røde blodlegemer og deraf følgende anæmisymtomer, og ved påvirkning af immunforsvaret (f.eks. påvirkning med neutropeni, autoimmun påvirkning)
  2. Der kan forekomme metaserende spredning fra tumor
  3. Prognosen for thymisk carcinom er relativt dårlig og forværres jo højere stadie, Masaoka stadie I-IV

Kliniske fund 1

  • Paraneoplastiske fænomener (thymisk endocrin tumor), som myasthenia gravis, red cell aplasia og immundefekter kan optræde som første symptom - og sommetider længe før thymomet er visualiserbart
  • I tidlige stadier er der ikke lokalsymptomer. Senere kan der forekomme tegn på kompression af v. cava superior og/eller kardiopulmonale symptomer. Sjældent anæmisymptomer

Supplerende undersøgelser i almen praksis

  • Laboratorieprøver kan vise anæmi, trombocytopeni eller neutropeni

Andre undersøgelser

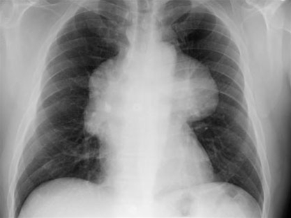
Røntgen af thorax med neoplastisk thymom eller carcinom

  • Røntgen af thorax
    • Diagnosen kan mistænkes på grundlag af et vanligt thorax-billede, som ofte viser breddeøget mediastinum
    • Læsionen viser sig som en glat fortætning i øvre halvdel af thorax, og ligger over den øvre del af hjerteskyggen ved overgangen mellem hjertet og de store kar
    • Fortætningen projiceres almindeligvis ind i en af thorax-halvdelene
  • CT-skanning
    • Anvendes normalt for at bedømme udbredelsen af tumor præoperativt, til at påvise lokal indvækst, thorakale metastaser og fjernmetastaser, og til at vejlede ved biopsitagning
    • CT med kontrast foretrækkes for at vise sammenhængen mellem thymomet og omgivende vaskulære strukturer
    • CT og MR kan vise cystiske ændringer, nekrose eller blødning inde i svulsten
  • Nuklearmedicin
    • Anvendelsen af thallium-201 som skelner mellem normal thymus, lymfoid follikulær hyperplasi og thymom hos patienter med myasteni
    • Anvendelse af indium-111 octreotid eller
    • Anvendelse af 18-fluoro-2-deoxy-D-glukose (FDG) positron emission tomography (PET)
  • Biopsi + histologi
    • Biopsimateriale og/eller fjernet tumor viser typiske histologiske karakteristika og gør det muligt at stadieinddele med henblik på evt. adjuverende behandling
    • Kan også være vigtigt differentialdiagnostisk overfor lymfom

Differentialdiagnoser

  • Lymfom
    • Er almindeligvis en dårligt afgrænset, lobuleret masse med lymfeknudeforstørrelse også andre steder
  • Germinalcelletumor
    • Forekommer hos yngre patienter, tumor kan have cystiske områder og forkalkninger
  • Retrosternal struma
    • Ofte association til thyroidea
  • Metastatisk lymfeknudeforstørrelse

Behandling ,2

Behandlingsmål

  • Der er ingen randomiserede undersøgelser til fastlæggelse af den optimale behandlingsstrategi 
  • Kurativt for de lokaliserede former
  • Symptomatisk og livsforlængende for de ondartede former
  • Prognosen afhænger af stadiet (Masaoka stadie I-IV) for neoplasi og carcinom

Generelt om behandlingen3

  • Godartet svulst
    • Behandling af tidlig, benign og indkapslet tumor er kirurgisk resektion, som giver lave recidivrater
  • Ondartet svulst uden påviselig spredning
    • Kirurgi efterfulgt af strålebehandling
  • Ondartet med spredning eller lokal avanceret
  • Præoperative forberedelser
    • Patienter med myasthenia gravis og thymom skal bringes i en optimal præoperativ tilstand før indgrebet ved anvendelse af kolinesterasehæmmere og om nødvendigt plasmaferese

Stadieinddeling

  • Stadieinddeling foretages i henhold til Masaoka-Koga-klassifikationen
    • Der er i alt 4 stadier
    • Behandlingen afhænger af stadiet og inkluderer kirurgi - kan suppleres med onkologisk terapi

Håndtering i almen praksis

Henvise:

  • Mistanke om retrosternal turmor som tilfældigt fund ved billeddannende undersøgelse
  • Thorakale symptomer med retrosternal kompression (tiltagende åndedrætsbesvær, hoste og synkebesvær)
  • Paraneoplastiske symptomer

Råd til patienten

  • Der kan ikke gives egentlige råd til patienten - fraset at der både kan være tale om benign og malign proces, og at behandlingen vil afhænge heraf

Medicinsk behandling

  • Onkologisk støttende behandling i forbindelse med kirurgisk resektion

Anden behandling

  • Kirurgi (dog ofte ikke muligt ved udbredt malign sygdom)
  • Onkologisk behandling ved invasiv vækst (f.eks. vene tumor indvækst, påvirkning af nervus frenikus)

Kirurgi

  • Resektable indkapslede godartede neoplasier og carcinomer

Forebyggende behandling

  • Der er ingen forebyggende behandling

Henvisning

  • Ved mistanke om tilstanden og da i et kræftpakkeforløb for hoved- og halskræft
  • Mistanke om retrosternal turmor som tilfældigt fund ved billeddannende undersøgelse
  • Thorakale symptomer med retrosternal kompression (tiltagende åndedrætsbesvær, hoste og synkebesvær)
  • Paraneoplastiske symptomer

Opfølgning

  • Recidiv efter primærbehandling for thymom kan komme efter 10-20 år
  • Derfor bør disse patienter følges med kontroller resten af livet

Sygdomsforløb, komplikationer og prognose

Sygdomsforløb

  • Thymomer er langsomtvoksende svulster
  • Efter kirurgi kan det tage mindst 10 år, før eventuelt recidiv optræder

Komplikationer

  • Indvækst i naboorganer og metastasering fra ondartede tumorer
  • Stråleperikarditis, strålepneumonitis, lungefibrose som følge af strålebehandling

Prognose

  • Prognosen er dårligere for patienter med symptomatisk thymom, fordi disse patienter har større sandsynlighed for at have et malignt thymom
  • 5 års overlevelsen er 92 % ved stadium I sygdom og 61 % ved stadium IV sygdom
  • Dødsårsagen er ofte hjertetamponade eller andre kardiopulmonale komplikationer

Baggrundsoplysninger

Definition

  • Betegnelsen thymom dækker over tumorer udgået fra de epitheliale celler i thymus
  • Thymuscarcinomer er sjældne tumorer, der også udgår fra den epitheliale del af thymus, og som har histologiske træk karakteristiske for carcinomer. Ved malign transformation af lymfocytter er der tale om lymfom
  • Thymomer er almindeligvis indkapslede svulster, som vokser lokalt. De fleste er benigne, men det kan histopatologisk være svært at skelne mellem benigne og maligne tumorer

Forekomst3

  • Thymom er sjælden, men er den hyppigste neoplasi i mediastinum anterius og udgør 20-25 % af alle mediastinale tumorer
  • Alder og køn
    • Opstår som regel i 40-60-årsalderen
    • Thymom forekommer i sjældne tilfælde hos børn
    • Det er ingen kønsforskel

Ætiologi og patogenese

  • Ca. 3/4 af alle thymomer (ikke thymuscarcinomerne) er forbundet med paraneoplastiske syndromer som myasthenia gravis, aplastisk anæmi, pemfigus, dermatomyositis, systemisk lupus erytematosus og immunoglobulin (Ig) mangel
  • Omkring halvdelen af patienter med thymom har myasthenia gravis, og modsat har ca. 15 % af patienter med myasthenia gravis thymom
  • Eaton-Lambert syndrom er også rapporteret at skulle være relateret til thymom
  • Færre end 10 % af patienter med thymom har "red cell aplasia", men modsat har ca. 50 % af patienter med "red cell aplasia" thymom og responderer gunstigt på thymektomi
  • Ca. 10 % af patienterne med thymom udvikler immunglobulinmangel

Thymus

  • Thymus (Brislen) er et lymfoidt organ, som er lokaliseret i mediastinum anterius
  • I de første leveår er thymus ansvarlig for udvikling og modning af cellemedierede immunologiske funktioner (T-lymfocytter)
  • Thymus er hovedsageligt sammensat af epiteliale celler og lymfocytter
  • Forstadier til lymfocytter migrerer fra knoglemarven til thymus og differentierer til T-lymfocytter
  • De fleste af disse lymfocytter ødelægges, men de tilbageværende celler migrerer ud i vævet
  • Thymuskirtlen når sin maksimale vægt ved puberteten og undergår herefter en gradvis involution

Patologi

  • Maligne thymomer udgør <1 % af maligne tumorer i Danmark 
  • Maligne thymomer kan invadere blodkar, lymfekar og omliggende strukturer i mediastinum
  • Som følge af den invasive vækst vil tumor efterhånden kunne komprimere naboorganer (lunger, hjerte, spiserør) og give symptomer fra disse organer
  • Blødning kan forekomme i store svulster som følge af nekrose

Disponerende faktorer

  • Der er stærk association til myastenia gravis og andre paraneoplastiske tumores

ICPC-2

ICD-10/SKS-koder

Patientinformation

Hvad findes af skriftlig patientinformation

Link til vejledninger

  • Forløbsbeskrivelser og regionale pakkeforløb

Kilder

Referencer

  1. Minervini F, Kocher GJ. When to suspect a thymoma: clinical point of view. J Thorac Dis. 2020; 12.; 7613-7618. Vis kilde
  2. Liou DZ, Berry MF, Brown LM, Demmy TL, Huang J, Khullar OV, Padda SK, Shah RD, Taylor MD, Toker SA, Weiss E, Wightman SC, Worrell SG, Hayanga JWA. The Society of Thoracic Surgeons Expert Consensus Document on the Surgical Management of Thymomas. Ann Thorac Surg. 2024; 118.; 975-1004. Vis kilde
  3. Thymuskræft, Kræftens Bekæmpelse. Vis kilde

Fagmedarbejdere

Thue Bisgaard

dr.med., overlæge i kirurgi, forhenværende professor,

Dorte Bojer

alm. prakt. læge, Grenå

Har du en kommentar til artiklen?

Bemærk venligst, at du IKKE vil modtage svar på henvendelser, der omhandler din egen sygdom, pårørendes sygdom, blodprøvesvar, hjælp til at udarbejde skoleopgaver og litteratursøgning.

Indhold leveret af

Lægehåndbogen

Lægehåndbogen

Kristianiagade 12

2100 København Ø

DisclaimerLægehåndbogen