Atopisk eksem

Tove Agner

speciallæge

Resumé

Diagnose

  • Atopisk eksem er en inflammatorisk hudsygdom, som rammer 15-20% af børn/unge og ca. 5-8% af voksne
  • Forekommer sammen med allergisk astma og rhinitis
  • Debuterer oftest inden 2-årsalderen, og lokalisationen af sygdommen ændres med alderen
  • Patienterne er især generet af hudkløe, af udslættet som påvirker udseendet, og af forstyrret nattesøvn
  • Symptomerne er rødme, vesikler, ødem og skældannelse. På mørk hud ses rødmen ikke tydeligt, og her er lichenisering og skældannelse mest fremtrædende

Behandling

  • De fleste patienter kan behandles tilfredsstillende med lokalbehandling (fugtighedscreme, binyrebarkhormon, calcineurinhæmmere)
  • Patientundervisning er en vigtig del af behandlingen
  • Kommer eksemet ikke i ro på lokalbehandling, skal patienten henvises til systemisk behandling

Henvisning

  • Henvises til dermatolog, hvis sygdomskontrol ikke opnås
  • Hudkløen ved atopisk eksem påvirker livskvaliteten negativt, og alle patienter bør i dag kunne behandles tilfredsstillende

Seneste væsentlige ændringer

  • Der er mange nye effektive behandlingsmuligheder til svær atopisk eksem (ex biologisk behandling og JAK hæmmere)

Diagnose

Diagnostiske kriterier

 Diagnosen stilles klinisk baseret på følgende:

  • Kløe, samt

    • Oplysninger om arvelig disposition

    • Det kliniske billede med typisk morfologi og distribution
    • Debut inden 2-årsalderen 

Hvordan stilles diagnosen?

  • Diagnosen kan stilles, hvis patienten har kløe, og såfremt tre eller flere af følgende kriterier er opfyldt1:  

    • Typisk lokalisation (aldersafhængig)

    • Astma eller høfeber hos patienten eller atopi hos 1. grads slægtninge
    • Tør hud
    • Synlig bøjefureeksem
    • Sygdomsdebut < 2 år

Sygehistorie

  • Kløe og udslæt.
  • Andre atopiske manifestationer (astma, høfeber) hos patienten eller atopi i familien
  • Evt. fødevareallergi (15 % af atopisk eksem-børn < 6 år)
  • Lokalisation af udslæt:
  • Typisk lokalisation 0-2 år: Ansigt (kinder), extensorsider af arme og ben, samt hænder. Bleområdet går ofte fri

    • Typisk lokalisation hos børn ældre end 2 år: albuebøjninger, knæhaser, håndled, ankelled og forsiden af halsen

    • Typisk lokalisation hos voksne: Ansigt, hals, krop, hænder
    • Spredning til truncus forekommer i alle aldersklasser
  • Infektioner i huden. Det drejer sig ofte om infektion med Staphylococcus aureus (S.aureus), som i sig selv kan virke som en forværrende faktor på eksemet. Herpes simplex-infektioner kan blive svære

Fødevareallergi?

  • 15% af børn med atopisk eksem i alderen 0-6 år har fødevareallergi
  • Børn med atopisk eksem, som reagerer med symptomer (nælder eller rødme af huden, røde øjne, hævelse af slimhinder, høfeber, astma, opkast, diaré og shock) få minutter og op til få timer efter indtagelse af et måltid, bør udredes for underliggende fødevareallergi. Også hos børn med svær atopisk eksem eller symptomer fra flere organsystemer bør fødevareallergi mistænkes
  • Udredes med priktest eller blodprøve for specifik IgE overfor mistænkte fødeemner. Prøvesvarene er vejledende og viser, om patienten er sensibiliseret, men ikke om der foreligger en allergi 
  • Den endelige diagnose stilles ved en provokationstest, som foregår på en specialafdeling (børneafdeling eller allergicenter)
  • Foreligger der en positiv test (priktest/specifik IgE) for et fødeemne, og har patienten oplevet symptomer inden for få minutter op til få timer efter at have spist det pågældende fødeemne, er det sandsynligt, at det drejer sig om fødevareallergi
  • Hyppigste årsager til fødevareallergi hos børn er mælk, æg, jordnødder ( peanuts), hvede og nødder 
  • Testning skal fokusere på de fødeemner, der er mistanke til. Bred testning med mange fødeemner (blodprøvepaneler) er svær at fortolke og giver ofte anledning til forvirring. Det er ikke nødvendigt at teste med fødevarer, der tåles godt
  • Diæt skal kun anbefales, hvis der er påvist fødevareallergi

Anden komorbiditet

  • De senere år har der været fokus på øget hyppighed af psykisk komorbiditet hos patienter med atopisk eksem, herunder øget hyppighed af ADHD og depression2 

Kliniske fund

Spædbørn

  • Eksemet er ofte vesikuløst og væskende
  • Hos børn op til 2-årsalderen er eksemet overvejende lokaliseret i ansigtet (kinder), hænder og ekstensorsider af ekstremiteterne og evt. kroppen
  • Bleregionen er sjældent angrebet ved atopisk eksem
  • Vær opmærksom på ikke at undervurdere sværhedsgraden af atopisk eksem på mørk hud, hvor erythemet ikke ses

Atopisk eksem, baby

Atopisk eksem, baby, generaliseret

Atopisk eksem på knæ hos lille barn

Børn

  • Eksemet er ofte tørt, ekskorieret og undertiden superinficeret
  • Eksemet er er mest udtalt på ekstremiteternes bøjefurer (albuebøjninger, håndled, knæhaser og ankler) og på forsiden af halsen, undertiden med spredning til kroppen, hvor det er lokaliseret symmetrisk.

Atopisk eksem, antecubital fossa

Atopisk eksem, barnehånd

Atopisk eksem, knæhaser

Lichenisering ved atopisk eksem. Foto venligst udlånt af DermNet

Atopisk eksem på arm. Foto venligst udlånt af DermNet

Voksne

  • Generelt tør og kløende, ofte licheniseret hud
  • Symmetriske eksemforandringer på truncus, i bøjefurer, i ansigtet, specielt periorbitalt, og på hals
  • Tendens til mere generel udbredelse
  • Tendens til håndeksem

Atopisk eksem, kronisk lichenificeret

Atopisk eksem, (Dennie folds)

Atopisk eksem, fodryg

Infektion

  • Ved infektion bliver eksemet erythematøst og væskende, og kløen forværres
  • Infektion medfører impetiginisering (gule skorper og pustler)

    • S.aureus er den hyppigste bakterie på huden hos atopikere. Op mod 80% af patienter med atopisk eksem er koloniseret med S. aureus på huden

    • S. aureus behandles, når der er kliniske tegn til infektion

Supplerende undersøgelser i almen praksis

  • Ca. 80% af alle med atopisk eksem er koloniseret med S. aureus 
  • Hvis det er aktuelt med antibiotikabehandling på grund af kliniske tegn til inficeret eksem, tages der dyrkning fra eksemet (obs. infektion med streptokokker)

    • Prøven tages fra inficerede, væskende elementer

  • CRP er aktuel, hvis der er mistanke om komplicerende cellulitis eller lymfangitis
  • Herpespodning tages ved mistanke om herpes simplex infektion (tætstillede vesikler eller små udstansede sår). Behandlingen initieres straks og skal ikke afvente podesvar 
  • Man bør i almen praksis være opmærksom på komorbiditet, herunder også den øgede hyppighed af ADHD og depression hos patienter med atopisk eksem
  • Vi mangler en sikker forståelse af betydningen af tidlig intervention i forhold til komorbiditet, men det bør være en motiverende faktor for at optimere behandlingen og opnå symptomfrihed
  • Vigtigt at være opmærksom på den samlede sygdomsbyrde, som påføres familien, når en person har atopisk eksem 

Allergiudredning

  • Atopi er ikke det samme som allergi - patienter med atopisk eksem har ikke nødvendigvis allergi
  • Fødevareallergi forekommer især hos børn, sjældent hos voksne. Hvis barnet reagerer med symptomer (nælder eller rødme af huden, røde øjne, hævelse af slimhinder, høfeber, astma, opkast, diaré og shock) få minutter og op til få timer efter indtagelse af et måltid, er der indikation for udredning for allergi overfor fødeemner
  • Udredning for allergi overfor luftvejsallergener foretages, hvis der er symptomer på dette (høfeber, astma)
  • IgE vil være forhøjet hos ca. 70% af patienter med atopisk eksem, men skal ikke tages rutinemæssigt
  • Kontaktallergi kan være en forværrende faktor, og bør især mistænkes hos unge og voksne med atopisk eksem. Kontaktallergi forekommer dog ikke med øget hyppighed hos patienter med atopisk eksem

Andre undersøgelser hos specialist eller undersøgelse på sygehus 

  • Priktest

    • Positive prik skyldes specifikke IgE-antistoffer

    • Specifikke IgE antistoffer kan også måles i en blodprøve - priktest eller måling af specifikke IgE antistoffer i blodbanen er ligeværdige undersøgelser
    • Positive test for aeroallergener (fx pollen, dyrehår) er relevante for patienter med allergisk rhinitis og astma, men ofte ikke særlig relevante i relation til hudlidelsen 
  • Undersøgelse for filaggrin-mutationer (epidemiologiske studier tyder på at filaggrin-mutationer er ledsaget af en dårligere prognose)3
  • Fødevareallergi?

    • Fødevareallergi kan betragtes som en komorbiditet og ikke som en forklaring på atopisk eksem 

    • Ved symptomer som f.eks.nælder eller rødme af huden, røde øjne, hævelse af slimhinder, høfeber, astma, opkast/diaré som opstår op til 2 timer efter indtagelse af et måltid, er udredning for fødevareallergi indiceret
    • Andre tilfælde, hvor udredning skal overvejes, er børn med svær kronisk eksem, som ikke responderer på almindelig behandling, og hvis der er symptomer fra flere organsystemer
    • Fødevareallergi hos danske børn drejer sig hyppigst om allergi over for komælk, æg og jordnødder (peanuts), hvede og nødder (typisk hassel)
    • En positiv priktest betyder, at patienten er sensibiliseret for det pågældende fødeemne, mens fødevareallergi betyder, at der opstår symptomer, når man indtager fødeemnet 
    • Symptomerne på fødevareallergi er oftest IgE-medierede og opstår inden for to timer efter indtagelse af det pågældende fødeemne
    • Udredning med bl.a. provokationstest foregår i specialistregi på børneafdelinger eller Allergicentre 

Differentialdiagnoser

Behandling

Behandlingsmål

  • Sygdomskontrol
  • Bedring af livskvalitet
  • At nattesøvnen ikke forstyrres af hudkløe
  • Oplæring i selv at tage hånd om sygdommen inden for de givne rammer
  • Forhindre komplikationer

Generelt om behandlingen 

  • Ændringer i miljøet er i praksis ikke nok til at opnå symptomfrihed, og de fleste patienter med atopisk eksem har behov for symptomatisk behandling
  • Basisbehandling: Hudpleje med fugtighedscremer er en meget vigtig del af behandlingen. Man har de senere år fokuseret i tiltagende grad på barrieredefekten ved atopisk eksem, og det er netop den, der sættes ind over for ved anvendelse af fugtighedscremer. Generelt bør cremer med et højt fedtindhold (> 30 %) anvendes, gerne højere fedtprocent om vinteren, og cremerne skal helst være parfumefri for at undgå komplicerende kontaktallergi
  • 1. valgs behandling: binyrebarkhormoncremer

    • Giver god og hurtigt indsættende symptomatisk effekt

    • Brug af fugtighedscreme nedsætter behovet for binyrebarkhormoncreme
  • Ved inficerede eksemer

    • Rene binyrebarkhormoncremer synes at være lige så effektive som kombinationspræparater med antibiotika

    • Anvendelse af kombinationspræparater bør minimeres, idet der er ikke evidens for, at effekten er bedre end ved anvendelse af binyrebarkhormoncreme alene
    • Behandling med systemisk antibiotika kan være påkrævet, hvis der er kliniske tegn til infektion, men er ikke i sig selv nok til at få eksemet i ro
    • Kaliumpermanganat bade eller afvaskning med chlorhexidin kan bruges til at forebygge eller behandle infektion i huden
  • 2. valgs behandling: Immunmodulerende medikament (calcineurinhæmmere)

    • Tacrolimuspimecrolimus

    •  Kan anvendes, når behandling med binyrebarkhormoncremer ikke giver tilstrækkelig effekt, og når det ikke er muligt at komme ud af behandlingen med binyrebarkhormoncremer, uden at eksemet recidiverer (behov for langtidsbrug)
    • Tacrolimus og pimecrolimus er velegnede til behandling af sensitive hudområder som f.eks. ansigt og øjenomgivelser 
    • Pimecrolimus er indregistreret til behandling af børn > 3 mdr, og tacrolimus er indregistreret til behandling børn > 2 år
    • Præparaterne er væsentlig dyrere end traditionel behandling, selv om der er generelt tilskud

Håndtering i almen praksis

  • Instruktion i behandling med binyrebarkhormoncreme er vigtig
  • Gode råd ved steroidskræk (angst for at anvende binyrebarkhormoncreme): 

    • Opnå patientens tillid, tag dig god tid

    • Patienten skal helst have en fast læge/sygeplejerske, undgå behandlerskift
    • Fortæl åbent omkring risici for bivirkninger
    • Forklar patienten om forskellig penetration for forskellige hudområder (høj penetration i ansigt og ved genitalia, mindre penetration på krop, arme og ben)
    • Forklar, at to cremer aldrig må blandes (hormoncreme må ikke blandes med fugtighedscreme)
    • Følg med i patientens forbrug - hvor mange gram hormoncreme er anvendt siden sidst
    • Husk at se på patientens hud
  • Se instruktionsfilm til patienter: Sådan bruger du creme med binyrebarkhormon til atopisk eksem
  • Binyrebarkhormoncreme bruges ved aktivt eksem en gang dagligt, der er ikke dokumenteret yderligere effekt ved brug flere gange dagligt
  • Bruges dagligt, så længe der er aktivt eksem (typisk 1-2 uger)
  • Herefter om nødvendigt fortsætte med vedligeholdelsesbehandling, såkaldt proaktiv behandling, med binyrebarkhormoncreme to dage om ugen
  • Mange patienter/forældre har "steroid-skræk", og for at imødegå dette, er det er vigtigt at tage en samtale om effekt og bivirkninger af binyrebarkhormoncremer
  • Vigtigt at være opmærksom på den samlede sygdomsbyrde som påføres familien, når en person har atopisk eksem4
  • Det er vist, at moderat/svær atopisk eksem påvirker uddannelsesmulighederne i negativ retning for den enkelte patient
  • En samlet forståelse for sygdommens sværhedsgrad, komorbiditeter og sociale konsekvenser er vigtig, både for læge og patient, og bør være en motiverende faktor for optimeret behandling

Råd til patienten

 Hudpleje

  • Anvendelse af fugtighedscreme 2 gange daglig er vigtig 
  • Oliebad har ikke bedre effekt end anvendelse af fugtighedscremer
  • Dagligt brusebad og afsæbning af huden holder bakteriemængden nede
  • Badet skal være kort og ikke for varmt for at undgå unødig udtørring, og fugtighedscreme påføres umiddelbart efter badning
  • Se instruktionsfilm til patienter: Sådan bruger du fugtighedscreme ved atopisk eksem

Medicinsk behandling

Binyrebarkhormoncremer (lokalsteroid)

  • Inflammation behandles med binyrebarkhormoncreme

    • Gruppe I steroid anbefales til ansigt og til kroppen hos små børn (ikke receptpligtig)

    • Generelt anvendes gruppe II steroider til kroppen hos børn og kortvarigt til ansigtet hos voksne. Hos voksne anvendes generelt gruppe III steroider til krop og ekstremiteter. Der er sjældent behov for gruppe IV steroider til behandling af atopisk eksem
    • Behandlingstiden afhænger af eksemets sværhedsgrad

      • For at undgå recidiv fortsættes i svære tilfælde med vedligeholdelsesbehandling (kaldes også proaktiv behandling)  med binyrebarkhormoncreme 2 gange om ugen i 3-6 uger

  • Bivirkninger

    • Ved overdreven brug kan der udvikle sig tynd, atrofisk hud, som til dels er reversibel. Striae udvikler sig især, hvis der tillige er anden hormonel påvirkning samt hurtig vækst (fx pubertet)

      • Ved anvendelse af store mængder binyrebarkhormoncremer/salver kan der ses systemisk påvirkning, og i sjældne tilfælde kan der ses reduceret længdevækst hos børn med svær eksem og stort forbrug, men disse bivirkninger ses sjældent.

      • Vær forsigtig med binyrebarkhormoncremer til bleområdet/genitalområdet, til axiller og til ansigt
      • Vær forsigtig med øjennær anvendelse af binyrebarkhormoncreme - her bør calcineurinhæmmere foretrækkes

Immunmodulerende lokalbehandling (calcineurinhæmmere)

  • Behandling med pimecrolimus er godkendt til børn over 3 måneder med mildt til moderat eksem, og behandling med tacrolimus er godkendt til børn over to år med moderat til svært eksem 
  • Præparater

  • Dokumentation

    • God dokumentation foreligger for, at præparaterne er virksomme, men ingen holdepunkter for at de er mere effektive end behandling med binyrebarkhormoncreme

    • Calcineurinhæmmere giver, i modsætning til steroider, ikke hudatrofi ,eller stigning i det intraokulære tryk ved øjennær anvendelse
    • Sikkerhed og data for effekt af langtidsbehandling er ikke så godt belyst som for binyrebarkhormoncremer, og bl.a. derfor er calcineurinhæmmere ikke 1. valgs behandling men anvendes, når behandling med binyrebarkhormoncremer ikke har tilstrækkelig effekt, eller hvor vedvarende behandling er nødvendig
  • Doseringsanbefaling

    • Tacrolimus salve findes i to styrker, 0,1 % salve til voksne (>16 år) og 0.03% til børn > 2 år. Ved eksemudbrud behandles x 2 daglig, med nedtrapning til x 1 daglig eller sjældnere. Vedligeholdelsesbehandling, også kaldet proaktiv behandling, hvor tacrolimus påføres en gang daglig to gange om ugen, forebygger nye eksemudbrud, og kan fortsætte gennem måneder  

    • Pimecrolimus 1 % creme

      • Effekten kan sammenlignes med effekten af gruppe I binyrebarkhormoncreme

      • Påsmøres 2 gange dagligt til eksemet er i ro
      • Hvis der ikke er effekt efter 6 uger vælges anden behandling
      • Ved recidiv startes samme behandling
  • Bivirkninger

    • Tacrolimus salve:

      • Giver ofte svie og brænden i huden ved de første påsmøringer, mere hos voksne end hos børn. De fleste tolererer det, især hvis de er informeret om, at det er forbigående

      • Ca. 20 % af patienterne, som bruger tacrolimus salve i ansigtet, får alkoholintolerance i form af akut ansigtsrødme i behandlede områder ved indtag af selv små mængder alkohol. Reaktionen kommer i løbet af minutter
      • Teoretisk risiko for udvikling af hudcancer ved samtidig soludsættelse. Patienterne skal informeres om at anvende solbeskyttelse
  • Advarsler:

    • Ikke indregistreret til gravide eller ammende

    • Samtidig eksponering for sollys bør begrænses
    • Bør ikke bruges ved samtidig infektion i hud/eksem
    • Øger risiko for herpesudbrud 
  • Pimecrolimus creme 
  • Kan også forårsage hudirritation og svie/brænden i huden i begyndelsen af behandlingen
  • Kan ligesom tacrolimus reaktivere herpesinfektion (sjældent)
  • Ikke indregistreret til gravide og ammende
  • Omkostninger:

    • Begge calcineurinhæmmere er væsentligt dyrere end binyrebarkhormoncremer

Andre medicinske behandlinger

  • Tjærebehandling er en traditionel behandling af eksem. Behandlingen er stort set udfaset, men den kan anvendes ved kroniske tørre eksemer, hvor behandlingsmål ikke nås med binyrebarkhormoncreme

    • Eksempelvis tjærevaselin 5 %

  • Antihistaminer

    • De færreste patienter med atopisk eksem har effekt af antihistaminer

    • Den bedste kløestillende effekt opnås ved optimal behandling af eksemet
  • Probiotika

    • Nogle undersøgelser har tydet på, at tilskud af visse probiotika kan have en gunstig effekt på udbredelse og intensitet hos børn med atopisk eksem, men behandlingstidspunkt (prænatalt, postnatalt), hvor længe, hvilken dosis, og hvilke mælkesyrebakterier der skal anvendes, er ikke fastlagt. Flere studier afventes, og probiotika anbefales ikke på nuværende tidspunkt

  • Systemisk behandling med azathioprinmethotrexate eller ciclosporin er en mulighed til patienter med svær eksem, der ikke responderer på ovennævnte behandlinger. Disse systemiske behandlinger varetages i dermatologisk speciallægeregi, har erfaringsmæssigt god effekt på mange med svært eksem, og kaldes i dag for "traditionel systemisk behandling". Dette i modsætning til de nye systemiske behandlinger, nemlig "biologisk behandling" med monoklonale antistoffer rettet mod IL4 og/eller IL13 (injektionsbehandling), og JAK-hæmmere (januskinasehæmmere, peroral behandling).  De nye systemiske behandlinger er særdeles effektive, administreres i hospitalsregi, og kun til patienter med svær eksem, som ikke har responderet på en af de traditionelle systemiske behandlinger

Inficeret eksem

Ved inficeret eksem på mindre områder suppleres behandlingen lokalt med: Afvaskning med klorhexidinholdig sæbeKaliumpermanganatbadeBehandling med fusidin creme/salve bør begrænses, da der hurtigt udvikles resistensVed eksem på større hudområder med klinisk tegn på infektion foretages podning og behandling dyrkningssvar

Anden behandling

  • Eksemskoler, hvor forældre til børn med atopisk eksem eller patienter med atopisk eksem modtager undervisning om sygdommen og behandling, har en dokumenteret positiv effekt. Eksemskoler findes tilknyttet alle hudafdelinger i Danmark, og Astma-allergi Danmark har også undervisningstilbud rundt om i landet
  • Sollys har en positiv effekt på eksem

    • Solferier kan være en hjælp til at komme gennem vinteren, hvor der ofte opleves forværring af eksemet, men sollys bør - som hos andre - nydes med måde og med solcreme. UVA eller U

    • VB lysbehandling hos hudlægen er også effektivt
  • Nogle få har så udtalte eksemforandringer, at der er behov for indlæggelse på en hudafdeling til behandling

Generelt

  • Hjemmemiljøet

    • Hold soveværelset køligt

    • Undgå støvsamlende indbo f.eks. tæpper
    • Undgå pelsbærende dyr og rygning
  • Påklædning

    • Sved kan udløse irritation og kløe

    • Undgå for varm påklædning
    • Undgå uld direkte på huden. Bomuld er ofte mere behageligt end syntetiske materialer
  • Diæt skal kun introduceres, hvis der er påvist fødevareallergi
  • Mange med (tidligere) atopisk eksem udvikler håndeksem som voksne, og for at forebygge dette er erhvervsvalg med valg af tørt og rent arbejde vigtigt

Under svangerskab og i spædbørnsalderen

  • Ingen dokumenteret effekt af diæt hos moderen under svangerskab og i ammeperiode
  • Amning og introduktion af fødevarer følger samme retningslinjer som for børn uden atopisk eksem

Vaccination ved eksem (fx børnevaccination)

  • Ved udbredt eksem anbefales vaccination i behandlingsfrie intervaller

Henvisning

  • Ved behov for videre udredning
  • Hvis behandlingsmål ikke nås på lokalbehandling
  • Ved behov for mere information (henvisning til eksemskoler)

Opfølgning

Sygdomsforløb, komplikationer og prognose

Sygdomsforløb

  • Eksemet debuterer som regel i spædbarnsalderen, men mere end halvdelen af patienterne er "vokset fra sygdommen" inden puberteten
  • Sygdommen er kronisk og fluktuerende
  • Mange voksne med tidligere atopisk eksem udvikler håndeksem
  • Atopisk eksem kan undtagelsesvis debutere hos større børn og voksne. Ved debut hos voksne er det vigtigt at overveje differentialdiagnoser (scabies, HIV-infektion, lymfom m.m.)

Komplikationer

OBS! Børn med atopisk eksem har en betydelig øget risiko for som voksne at udvikle håndeksem. 25-50 % af alle, der har eller har haft atopisk eksem som børn, udvikler håndeksem som voksne. Det er en vigtig opgave for den praktiserende læge at informere om dette på et tidligt tidspunkt, idet det må tages i betragtning ved erhvervsvalg (tørt og rent job bør foretrækkes).

  • Kontaktallergi. Ved vedvarende eksem bør dette udredes hos hudlæge med epikutantest
  • Infektioner: 
  • Impetigo
  • Andre bakterielle hudinfektioner
  • Svampeinfektioner (head and neck-dermatitis forårsaget af svampen Pityrosporum ovale)
  • Herpes simplex infektioner (eczema herpeticum)
  • Mollusker

Komorbiditet

  • Atopisk eksem forekommer sammen med allergisk astma (starter typisk ved skolestart) og allergisk rhinitis (starter typisk i puberteten)
  • 15% af børn i alderen 0-6 år udvikler fødevareallergi
  • Der er påvist en overhyppighed af neuropsykiatrisk lidelse (ADHD) og psykiske sygdomme (bl.a. depression) hos patienter med atopisk eksem5 6.
  • Den kausale sammenhæng er ikke kendt, og om en optimal behandling af atopisk eksem i barnealderen evt. kan forebygge de psykiske sygdomme vides ikke med sikkerhed, men er en overvejelse i forbindelse med vigtigheden af at opnå sygdomskontrol

Prognose

  • Halvdelen af børn med atopisk eksem har fået normaliseret huden ved skolestart
  • Ca. 60 % er symptomfri ved puberteten, men nogle får recidiv som voksne
  • 25-50 % af alle med atopisk eksem udvikler håndeksem senere i livet
  • Prædiktorer for dårligere prognose

    • Tidlig debut

    • Alvorlig tidlig sygdom
    • Samtidig astma og høfeber
    • Familieanamnese med atopisk eksem
    • Filaggrinmutation(er)
  • En patient, som har haft atopisk eksem, beholder sin atopiske disposition og sin tørre, atopiske hudtype, og skal hele livet være omhyggelig med hudpleje/fugtighedscreme

Baggrundsoplysninger

Definition

  • Kløende, inflammatorisk hudlidelse, fortrinsvis lokaliseret i bøjefurer
  • Atopisk eksem har også været kaldt astmaeksem, børneeksem og prurigo Besnier, men i dag foretrækkes navnet atopisk eksem 
  • Eksemet ses som et uskarpt afgrænset erythem med ødem og vesikler i det akutte stadie samt afskalning og fortykket hud (lichenisering) i det kroniske stadie
  • Ses især hos personer med atopisk disposition (eksem, høfeber, astma i familien)
  • Mange patienter (op mod 70 %) med atopisk eksem har forhøjet IgE

Forekomst

  • Prævalens

    • Atopisk eksem forekommer overalt i verden, men hyppigheden korrelerer positivt med breddegrad og negativt med gennemsnitlig udendørs temperatur. Dette skyldes formentlig, at hudens barriere påvirkes af UV-lys og luftfugtighed

    • Atopisk eksem findes hos 15-20 % af alle børn/unge og hos 5-8% af voksne 
    • Prævalensen er steget signifikant over de sidste 30 år, sandsynligvis pga. af miljø- og livsstilsændringer, men er siden 2000 stagnerende 
  • Forløb

    • Langt de fleste tilfælde af atopisk eksem debuterer hos børn under to år, og mindre end 10 % debuterer i voksenalder

  • Komorbiditet

    • Astma og/eller allergisk rhinitis opstår hos 1/3 af børn/unge med atopisk dermatitis. Fødevareallergi ses hos op til 15 % af børn < 6 år med atopisk eksem. Endvidere forekommer ADHD, psykiske sygdomme og muligvis også kardio-vaskulære sygdomme med let øget hyppighed

Etnicitet, geografi og klima

  • Atopisk eksem forekommer overalt i verden og i alle etniske grupper, men det kliniske billede hos patienter med kaukasisk, asiatisk og afrikansk afstamning er forskelligt. Mens rødmen træder tydeligt frem på lys hud, ses dette næsten ikke på mørk hud, hvor lichenisering og skældannelse er mere fremtrædende. Den manglende rødme kan let føre til, at man undervurderer sværhedsgraden på mørk hud

Ætiologi og patogenese

  • Atopisk eksem er associeret med to andre atopiske sygdomme, nemlig allergisk astma og allergisk rhinitis
  • Tilstanden karakteriseres af en kronisk, fluktuerende inflammation i huden
  • Årsagen til sygdommen er multifaktoriel, både hudbarrierefunktion, immunologi og miljø er involveret
  • Mutationer i filaggrin genet (FLG) er den største enkelte risikofaktor for udvikling af atopisk eksem. Filaggrin er et protein i stratum corneum med stor betydning for hudens barrierefunktion. Mutationerne findes hos 30 % af patienter med moderat til svær atopisk eksem mod 10 % i baggrundsbefolkningen3  
  • En række immunologiske parametre (interleukiner mm.) er opregulerede ved atopisk eksem, og der er et tæt samspil mellem barrierefunktion og immunologi
  • I miljøet spiller både irritanter og allergener en rolle for eksemudbrud
  • Omkring 80 % af alle patienter med atopisk eksem er koloniseret med Staphylococcus aureus, og kolonisering er relateret til sværhedsgrad af eksemet
  • Fødevareallergi er en ledsagesygdom til atopisk eksem, ikke en årsag til eksemet

Disponerende faktorer

  • Atopisk eksem er en stærkt arvelig sygdom og nedarves sammen med de øvrige atopiske sygdomme, allergisk astma og allergisk rhinitis

ICPC-2

ICD-10/SKS-koder

Patientinformation

Hvad du bør informere patienten om

  • Om sygdommens årsag, behandling og prognose
  • Hudpleje
  • Forebyggende behandling
  • Om brug af binyrebarkhormoncremer
  • Risiko for udvikling af håndeksem/erhvervsrådgivning
  • Mulighed for deltagelse i eksemskole

Link til patientinformation

Videoer om smøring med creme ved atopisk eksem

Link til vejledninger

Illustrationer

Billeder

Atopisk eksem, generaliseret 

Atopisk eksem, baby

 

Atopisk eksem i bøjefure

 

Atopisk eksem - knæhaser

 

Atopisk eksem på barnehånd

 

Atopisk eksem, kronisk lichenficeret

 

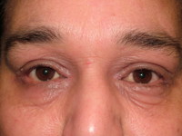
Atopisk eksem omkring øjenlåg

 

Atopisk eksem - fodryg

Atopisk eksem på arm 

Lichenisering ved atopisk eksem

Atopisk eksem på knæ

Kilder

Referencer

  1. Williams HC, Burney PG, Pembroke AC, Hay RJ. Validation of the U.K. diagnostic criteria for atopic dermatitis in a population setting. U.K. Diagnostic Criteria for Atopic Dermatitis Working Party. Br J Dermatol. 1996; 135.; 12-7. Vis kilde
  2. Thyssen JP, Hamann CR, Linneberg A, Dantoft TM, Skov L, Gislason GH, Wu JJ, Egeberg A. Atopic dermatitis is associated with anxiety, depression, and suicidal ideation, but not with psychiatric hospitalization or suicide. Allergy. 2018; 73.; 214-220. Vis kilde
  3. Brown SJ, McLean WH. One remarkable molecule: filaggrin. J Invest Dermatol. 2012; 132.; 751-62. Vis kilde
  4. Vittrup I, Droitcourt C, Andersen YMF, Skov L, Egeberg A, Delevry D, Fenton MC, Thyssen JP. Family burden of hospital-managed pediatric atopic dermatitis: A nationwide registry-based study. Pediatr Allergy Immunol. 2022; 33.; e13693. Vis kilde
  5. Nygaard U, Riis JL, Deleuran M, Vestergaard C. Attention-Deficit/Hyperactivity Disorder in Atopic Dermatitis: An Appraisal of the Current Literature. Pediatr Allergy Immunol Pulmonol. 2016; 29.; 181-188. Vis kilde
  6. Vittrup I, Andersen YMF, Droitcourt C, Skov L, Egeberg A, Fenton MC, Mina-Osorio P, Boklage S, Thyssen JP. Association between hospital-diagnosed atopic dermatitis and psychiatric disorders and medication use in childhood. Br J Dermatol. 2021; 185.; 91-100. Vis kilde

Fagmedarbejdere

Tove Agner

overlæge, dr. med., Dermatologisk-venerologisk afd., Bispebjerg Hospital

Annika Norsk Jensen

speciallæge i almen medicin, ph.d.,

Har du en kommentar til artiklen?

Bemærk venligst, at du IKKE vil modtage svar på henvendelser, der omhandler din egen sygdom, pårørendes sygdom, blodprøvesvar, hjælp til at udarbejde skoleopgaver og litteratursøgning.

Indhold leveret af

Lægehåndbogen

Lægehåndbogen

Kristianiagade 12

2100 København Ø

DisclaimerLægehåndbogen