Malignt melanom

Mette Mogensen

speciallæge

Resumé

Diagnose

  • Det kan være vanskeligt at skelne modermærkekræft fra almindelige modermærker
  • Brug af ABCDE-kriterier giver mere nøjagtig diagnostik
  • Ved den samlede vurdering indgår også patientens information om evt. ændring af modermærket
  • Endelig diagnose fastslås ved excision/biopsi og histologisk undersøgelse af det suspekte modermærke

Behandling

  • Kirurgisk excision ofte efterfulgt af re-excision i en dybde guidet af tykkelsen
  • Vurdering af eventuelle metastaser med sentinel node og fx PET/CT-scanning i hospitalsregi
  • Evt. adjuverende behandling i onkologisk regi
  • I Danmark er prognosen for modermærkekræft generelt god - men jo hurtigere diagnose des bedre prognose

Henvisning

Melanocytære læsioner klassificeres jf. Pakkeforløb for Modermærkekræft i flere kategorier:

  • Mistanke om modermærkekræft: Henvis til filterfunktion hos f.eks. praktiserende dermatolog eller dermatologisk specialafdeling
  • Begrundet mistanke om modermærkekræft: Henvis direkte til plastikkirurgisk pakkeforløb.
  • Ved mistanke om recidiv hos patient

Diagnose

Modermærkekræft, malignt melanom (MM)

Diagnostiske kriterier

  • Klinisk vurdering af om et modermærke er suspekt for malignt melanom afgør, hvorvidt elementet skal fjernes
  • Endelig diagnose beror på histologien inkl. specialfarvninger
  • Rent anamnestisk er forandring i eksisterende nævus eller nyt anderledes nævus det mest sensitive symptom på MM
  • Brug af de kliniske ABCDE - kriterier giver mere nøjagtig melanomdiagnostik
  • Dermoskopi er en simpel undersøgelse med forstørrelse x 20, men hos den uøvede giver den lavere sensitivitet, se malignt-melanom-dermatoskopi

 ABCDE - kriterierne

  • Asymmetri
    • De fleste nævi er ret symmetriske. Ved modermærkekræft derimod, er den ene halvdel ikke et spejlbillede af den anden
  • Border (afgrænsning/periferi)
    • Modermærkekræft er typisk uregelmæssig og uskarp afgrænset i periferien, men ofte randområder med øget pigmentering
    • Atypiske nævi har sædvanligvis også uskarp, udflydende og uregelmæssig afgrænsning mod normal hud
  • Colour (Farve)
    • Sort og mørkebrunt pigment i kombination med blå, hvide (mælkeslør), grå, pink farver øger sandsynligheden for, at det er modermærkekræft 
    • Maligne melanomer har ofte en glinsende overflade, fordi lyset reflekteres i pigmentet, som er deponeret højt i epidermis
    • Der kan forekomme halofænomen, altså depigmenteret hvid ring omkring forandringen også ved malignt melanom
    • Atypiske nævi varierer i farve fra orange, rødbrunt til sort. Farvenuancer som blåsort er mere fremtrædende i modermærkekræft 
  • Diameter
    • Modermærkekræft måler sædvanligvis over 5-7 mm i diameter
  • Evolution 
    • Udvikling i elementet er relevant, især hos patienter over 40 år
    • "E" beskriver også elevation, der er suspekt hvis det er nyopstået

Screening 

Der er ikke tilstrækkelig dokumentation for at anbefale rutinemæssig screening af alle. Langtidsmonitorering med digitalt fotoudstyr kan overvejes hos patienter med høj risiko (atypisk nævus syndrom, familiær ophobning eller bærere af gener med høj risiko for at udvikle MM) samt efter vurdering fra hudlæge eller plastikkirurger hos patienter, der allerede har haft modermærkekræft.

Sygehistorie

MM mistanke hos patienten selv eller dennes pårørende skal altid tages alvorligt. Selv om symptomerne kan være få og diskrete, udgør de altid et vigtigt bidrag til diagnosen. Typiske symptomer er:

  • Nyt modermærke eller ændring af størrelse, farve eller form af eksisterende modermærke
  • Subjektive gener (ubehag, svie, smerter og kløe) i et eksisterende modermærke
  • Anamnese med nyt element eller med forandring i eksisterende elementer er det mest sensitive symptom på modermærkekræft. Udvikling af nye modermærker skal ses ift. alder. Det er især efter 40-års alderen at nyopståede modermærker er suspekte for modermærkekræft
  • Blødning eller sårdannelse i et modermærke uden forudgående traume
  • Kløe er det mindst specifikke symptom, og opstår ofte i almindelige modermærker 
  • Man skal have skærpet opmærksomheden, hvis der er nære familiemedlemmer med modermærkekræft

Kliniske fund

  • Der findes ingen sikre kliniske fund, der kan bekræfte diagnosen 100 %
    • Bemærk, at ca. 5 % af alle melanomer er ikke-pigmenterede og kan let overses som benigne forandringer, særligt gælder dette nodulære melanomer. De amelanotiske maligne melanomer er ofte røde eller rosa
    • Atypiske nævi er almindeligvis dårligt afgrænsede, asymmetriske, har et varieret farvemønster, er 6 mm eller større, de kan være vanskelige at skelne fra maligne melanomer, og her er en helkropsundersøgelse vigtig, da man leder efter en eventuel "ugly duckling" hos en person med mange atypiske modermærker
  • Ændringer i eksisterende nævi bør altid vække mistanke
  • Jo lysere hudtype, jo mere lyseksponering - des højere risiko
  • De akrale MM opstår dog uafhængigt af soleksposition og hudfarve og forekommer overalt i verden

Kutant malignt melanom undertyper, lokalisation og hyppighed

 Modermærkekræft kan opdeles i 4 undertyper:

1) Superficielt spredende malignt melanom (ssMM) - trunkus og ekstremiteter (70 %)

  • I SSMM udvikler den maligne vækst sig intraepidermalt og spreder sig radiært/horisontalt i huden i en langsom vækstfase.
  • På diagnosetidspunktet er læsionen ofte flad, lidt uskarpt afgrænset med vekslende pigmentering og uregelmæssigt omfang. Sekundært kan udvikles nodulært komponent i elementet. Histologisk er SSMM karakteriseret ved radiær vækst 
  • Den horisontale vækstfase kan vare i flere år før de infiltrerer

2) Nodulært malignt melanom (nMM) - trunkus og ekstremiteter (10-20 %)

  • Nodulært malignt melanom er nodulært/kuplet, mørkt, uregelmæssig og ofte ulcereret.
  • Karakteriseret ved en aggressiv hurtig vertikal vækst, og tumor har en kort intraepidermal vækst.
  • Denne melanomtype viser sig som en knude, ofte med sort til blålig farve, eventuelt med rødlige partier, ofte blødende
  • Metastaserer tidligt

3) Lentigo maligna melanom (LMM) - ansigt, nakke (5 %)

  • Udvikles oftest hos ældre på især soleksponerede områder (hoved/hals). Det udvikles over mange år fra et lentigo maligna (melanoma in situ)
  • Opstår typisk på soleksponeret hud, oftest i ansigtet hos ældre
  • Lys brun, langsomtvoksende læsion som kan metastasere

4) Akral malignt melanom - håndflade, fodsål, subungualt (melanonychia), mukosa (5 %)

  • Hyppigste form hos personer med mørk hud
  • Udvikles palmoplantart og subungualt, oftest i fodsåler. Ved de palmoplantare MM ses elementet oftest fladeformet, brunsort med spættet, uregelmæssigt pigment.
  • Histologisk ses en tidlig intraepidermal fase. Senere udvikler det sig nodulært med invasivt vækstmønster. 

MM som opstår i øjet (conjunctiva, uvea), hjernehinder og slimhinder holdes i epidemiologisk forskning adskilt fra MM i huden, de behandles ikke i dette afsnit.  

Supplerende undersøgelser i almen praksis

  • Det pigmenterede element vurderes klinisk ud fra ABCDE kriterierne og sammenlignes med patientens øvrige modermærker i forhold til, om der er tale om en ”ugly duckling”
  • Sensitiviteten af visuel vurdering ved en erfaren dermatolog er beskrevet til 60-70 %
  • Hvis patienten har mange atypiske nævi, kan man med fordel markere melanomet med en tusch og tage et foto med patientens mobiltelefon, som kan medbringes til plastikkirurgen. Alternativt kan lægen tage et billede og sende dette til plastikkirurgen sammen med henvisningen.
  • Dermoskopi 
    • Giver større mulighed for at identificere præmaligne forandringer og tidlige stadier af maligne melanomer, men brug af dermoskop har kun høj diagnostisk nøjagtighed i trænede hænder
    • Gør det muligt at skelne mellem melanocytiske og ikke-melanocytiske læsioner
    • Suspekte forandringer har et bredere, mere uregelmæssigt pigmentnetværk, tilstedeværelse af et blåhvidt slør (mælkeslør), flere farver, radial stråling, pseudopodier og perifere sorte pletter og klumper (se billede)
    • I en række studier er det vist, at dermoskopi øger den diagnostiske sensitivitet og specificitet, begge ligger omkring 80-90 %
    • Når teknikken benyttes af hudlæger med erfaring, er sensitivitet og specificitet tæt på 95%
  • Excision (bemærk alle elementer med begrundet mistanke om MM skal henvises direkte i pakkeforløb for MM til en plastikkirurgisk afdeling; se regionens forløbsbeskrivelse)
    • Alle nævi bør fjernes med en 1-2 mm bred randzone og sendes til histologisk undersøgelse
    • Ved begrundet mistanke om melanom, bør excisionsranden være >5 mm fra kanten af nævus, hvis dette er muligt, men ikke for stor margin i ansigtet af hensyn til senere re-excision
  • Hudbiopsi
    • Hvis man skulle komme til at tage en stansebiopsi eller incisionsbiopsi af et malignt melanom, vil dette ikke føre til øget risiko for metastasering eller på anden måde ændre tumors biologi
    • Imidlertid kan måling af tumortykkelse og den histologiske diagnostik blive vanskeligere for patologen både i den første biopsi og i restpræparatet

Andre undersøgelser hos speciallæge eller undersøgelse på sygehus

  • Dermatologen foretager ofte den primære diagnostiske excision i forlængelse af den konsultation, hvor mistanke om en malign læsion opstår
  • Langtidsmonitorering med digitalt fotoudstyr kan overvejes hos patienter med høj risiko (atypisk nævus syndrom, FAMMM eller bærere af gener med høj risiko for at udvikle malignt melanom), fx:
  1. Helkropsfoto for total digital body mapping til sammenligning med opfølgende besøg hver 6-12 måned med henblik på at registrere nytilkomne elementer og ændringer i form farve og overflade af elementerne.
  2. Digital dermoskopi af alle individuelle elementer for at gemme billeder af de pigmenterede elementer til sammenligning ved fremtidige kontroller. Ved opfølgende besøg sammenlignes tidligere dermoskopi billeder og nye elementer fotograferes. 

Metastaseudredning

Gøres ved mindste kliniske mistanke om metastaser. Rutinemæssig udredning af metastaser afdækker sjældent metastaser, men medfører et stort problem som følge af mange falske positiv fund. Sentinel Node Biopsi (SNB), også kaldet skildvagts-lymfeknudebiopsi, er fremgangsmåden til at påvise lokal spredning.

  • Skildvagt lymfeknuden er den første lymfeknude, som dræner lymfen fra området med modermærkekræft
  • Udfordringen kan være at lokalisere den
  • Fund af positiv eller negativ skildvagt lymfeknude har afgørende indflydelse på prognosen
  • Ved SNB fjernes lymfeknuder med blåfarvning og/eller radioaktivitet ex vivo over 10 % af den mest hotte lymfeknude.
  • SNB overvejes for alle patienter med melanom, som er >1 mm i tykkelse, melanom med (mikro)satellitter uanset tykkelse, melanom hvor tumortykkelse ikke kan måles eller melanocytær tumor, uvist benign eller malign (worst case scenario overvejelse), melanom - uvist om primærtumor eller metastase og ingen samtidig spredning på PET-CT (best case scenario overvejelse).
  • SNB bør overvejes til yngre patienter med T1 melanomer med mitoser i dermis. For T1a melanom (<0,8 mm) kun til patienter < 65 år. For T1b melanom (0,8-1 mm) er der ikke en konkret aldersgrænse, og der tilbydes SNB. Se DMCG: Sentinel node biopsi procedure for melanom      
  • p-LDH måles.  Ved forhøjet LDH er overlevelsen forringet
  • Billeddiagnostik
    • Anvendes bl.a. røntgen thorax, ultralyd, MR- eller PET/CT-skanning og ved behov ultralydsvejledt biopsi

    Stadieinddeling (2009 AJCC systemet) 

    • Stadie 0
      • Melanoma in situ
    • Stadium IA
      • Tumortykkelse≤ 0,8 mm uden ulceration og mitoser <1/mm2
    • Stadium IB
      • Tumortykkelse ≤ 0,8-1,0 mm med ulceration eller mitoser > 1/mm2, eller tumortykkelse 1,01-2,0 mm uden ulceration
    • Stadium IIA
      • Tumortykkelse 1,01-2,0 mm med ulceration eller tumortykkelse 2,01-4,0 mm uden ulceration
    • Stadium IIB
      • Tumortykkelse 2,01-4,0 mm med ulceration eller tumortykkelse 4,0 mm uden ulceration
    • Stadium IIC
      • Tumortykkelse > 4,0 mm med ulceration
    • Stadium IIIA
      • Enhver tumortykkelse uden ulceration og med 1-3 mikroskopiske lymfeknuder
    • Stadium IIIB
      • Enhver tumortykkelse med ulceration og 1-3 mikroskopiske lymfeknuder, eller enhver tumortykkelse uden ulceration og 1-3 makroskopiske lymfeknuder, eller enhver tumortykkelse med eller uden ulceration og enten satelit(ter) eller in-transit metastase(r) uden metastatisk(e) lymfeknude(r)
    • Stadium IIIC
      • Enhver tumortykkelse med ulceration og enten 1-3 makroskopiske lymfeknuder eller satelitter eller in-transit metastaser uden metastatiske lymfeknuder eller enhver tumortykkelse med 4 metastatiske lymfeknuder eller satelitter/in-transit metastaser med metastatiske lymfeknuder
    • Stadium IV
      • Enhver tumortykkelse, ethvert antal lymfeknuder og enhver fjernmetastase i hud, subkutant, lymfeknuder eller visceralt
      • Anvendelsen af Clark level til stadieinddeling er erstattet af antal af mitoser pr mm2 - se ovenfor

    Differentialdiagnoser

    • Almindelige melanocytære modermærker
    • Atypiske nævi
    • Pyogent granulom
    • Pigmenteret basalcelle carcinom
    • Kutane sarkomer
    • Metastaser fra feks. mammacancer
    • Blødende seborrhoiske keratoser
    • Dermatofibrom

    Behandling

    Behandlingsmål

    • Fjerne MM tumoren med sikker margin
    • Behandle eventuelle metastaser enten kirurgisk eller med adjuverende medicinsk og/el. strålebehandling

    Generelt om behandlingen

    • Ved klinisk mistanke om malignt melanom skal hudtumor excideres in toto
    • Det er specielt vigtigt at identificere de tidlige, maligne melanomer med overfladisk spredning, da disse kan helbredes ved kirurgisk primærbehandling - ved lokal excision
    • I dag er 20 % af melanomerne af den højmaligne nodulære type på diagnosetidspunktet          

    Kirurgi

    • Behandling af modermærkekræft omfatter kirurgisk excision af primær tumor eller re-excision af cikatricen efter excisionsbiopsi med en sikkerhedsmargin (excisionsafstand) i horisontalplanet omfattende hud og subcutis omkring melanomet/cikatricen samt vertikalt til muskelfascien
    • Udføres af plastikkirurg
      • Ved begrundet mistanke om malignt melanom henvises direkte i pakkeforløb for modermærkekræft
    • Frie excisionsrande
      • Temaet er fortsat kontroversielt
      • I Danmark er reglen
        • Ved tumortykkelse < 1 mm bør ekscideres med 1 cm afstand i horisontalplanet og ned til fascien, hvor denne er veldefineret
        • Ved tumor tykkelse 1 til 4 mm lokaliseret til truncus og ekstremiteter bør ekscideres med 2 cm afstand i horisontalplanet og ned til fascien, hvor denne er veldefineret.
        • Ved tumortykkelse > 4 mm lokaliseret til truncus og ekstremiteter bør ekscideres med min. 2 cm afstand i horisontalplanet og ned til fascien, hvor denne er veldefineret.
        • Ved andre anatomiske lokalisationer af melanomer kan det være nødvendigt at individualisere ekscisionsafstanden
        • Ved modermærkekræft i og omkring negle bør der yderligere foretages en funktionel partiel amputation, som i de fleste tilfælde foretages ved nærmeste proksimale led
    • Elektiv lymfeknudefjernelse
      • Effekten er ikke fuldt dokumenteret 
    • Sjældne lokalisationer
      • Melanomer i neglelejet, i neglematrix, på fingrene eller i fodsålerne samt i øjet kræver specialiseret kirurgisk behandling

    Medicinsk behandling

    • Behandling er indiceret, hos patienter med stadium IIIa og højere for at nedsætte risikoen for recidiv, og hvis der foreligger metastaser, som ikke kan fjernes kirurgisk
    • Ca. 350 patienter får årligt konstateret metastatisk sygdom. De organer, sygdommen hyppigst metastaserer til, er lymfeknuder, lunger, lever og hjerne, men også metastaser til knogler, knoglemarv, milt og andre organer, samt muskler og bindevæv ses. Forekomst af organmetastaser er generelt ensbetydende med en meget dårlig prognose.
    • Prognosen hos patienter med modermærkekræft i høje stadier kan bedres ved supplerende medicinsk behandling. De nyeste onkologiske retningslinjer nævner derfor patienter med højrisiko stadium IIB og C uden metastaser samt IIIA sygdom, hvor der kun er metastase i en sentinel node
    • Behandlingsmulighederne omfatter immunterapi, targeteret biologisk behandling og kemoterapi.

      Andre medicinske behandlinger

      • Ofte er behandling af bivirkninger til de medicinske kræftbehandlinger nødvendig

      Anden behandling

      • Adjuverende strålebehandling anbefales ikke som standardbehandling efter komplet resektion af modermærkekræft el. metastaser fra modermærkekræft 
      • Den adjuverende strålebehandling gives typisk til patienter med ikke-komplet resektion af modermærkekræft eller metastaser fra modermærkekræft, såfremt der er høj risiko for komplikationer ved lokalt recidiv og/eller kontraindikationer for systemisk adjuverende behandling

      Metastasebehandling

      • Solitære metastaser
        • Behandles om muligt med kirurgisk excision
      • Inoperable eller multiple metastaser
        • Medicinsk behandling
        • Strålebehandling til store begrænsede metastaser

      Palliativ behandling

      Forebyggende behandling

      Beskyttelse mod solforbrænding

      • Det er vigtigt at undgå forbrænding og begrænse soleksponeringen midt på dagen
      • Børn må ikke blive solskoldede!
      • Man bør vælge solbeskyttende midler som beskytter både mod UV-A og UV-B
      • Selv om man bruger solcremer, skal man tage sol med stor forsigtighed, hvis man er lys i huden
      • Brug af solarium frarådes

      Tidlig lægekontakt

      • Tidlig diagnose er den vigtigste faktor for vellykket behandling
      • Patienten undersøges af en læge, hvis patienten opdager suspekte forandringer i sine modermærker eller får nye modermærker efter 40-års alderen
      • Screening
        • Der findes ikke dokumentation for effekt
      • Profylaktisk fjernelse af modermærker
        • Ved begrundet mistanke bør modermærket fjernes
        • Ved lille mistanke observeres tæt evt. med dermoskopi eller fotografering
        • Fjernelse af alle nævi hos højrisiko patienter reducerer ikke behovet for overvågning, fordi MM kan opstå i helt normal hud
      • Gigantnævi
        • Medfødte gigantnævi (>20 cm) bør følges af dermatolog regelmæssigt gennem hele livet
        • Biopsi bør udføres af suspekte områder i modermærket
        • Excision af små og mellemstore medfødte modermærker uden suspicio er sædvanligvis ikke nødvendigt

      Henvisning

      Melanocytære læsioner klassificeres jf. Pakkeforløb for Modermærkekræft i 3 kategorier som primært henvender sig til almenpraktiserende læger

      1. Ingen mistanke
      2. Mistanke om MM henvis til filterfunktion f.eks. praktiserende dermatolog eller dermatologisk specialafdeling
      3. Begrundet mistanke om MM: Den alment praktiserende læge henviser direkte i pakkeforløb. Ved begrundet mistanke skal patienten henvises direkte i pakkeforløb for malignt melanom til plastikkirurgisk afdeling, der indkalder patienten i løbet af få dage

      Opfølgning

      • Følger opfølgningsprogram for modermærkekræft. Se Sundhedsstyrelsen (www.sst.dk) samt dansk melanomgruppes retningslinjer (www.melanoma.dk)
      • Risikoen for nyt primært MM hos patienter med tidligere MM er særligt forøget inden for de første 2 år efter første tilfælde af melanom, men gennem hele livet har patienten en vedvarende øget risiko ift. baggrundsbefolkningen 
      • Det er i øvrigt op til speciallægens skøn, ud fra en individuel risikovurdering, om der skal suppleres med kontrol i dermatologisk regi med henblik på tidlig opdagelse af nyt primært MM.
      • Patienter med tidligere MM uden andre påfaldende nævi kan som hovedregel afsluttes.

      Plan

      • Formålet med kontrollen er at diagnosticere regionale metastaser og eventuelt nye melanomer
      • In situ melanom og Melanom IA afsluttes efter 3 mdr
      • Melanom IB og IIA: Hver 6 mdr i 5 år derefter hver 12 mdr i 5 år. De første 5 år på special afdeling, derefter hos egen læge
      • Melanom IIB IIC og III: Hver 3 mdr i 2 år, hver 6 mdr i de næste 3 år derefter hver 12 mdr. i 5 år. De første 5 år på special afd, derefter hos egen læge
      • Melanom IV: I udgangspunktet som stadie IIC og III, men tilrettelægges individuelt
      • Patienten skal instrueres i fornuftige solvaner og at henvende sig før ved tegn på recidiv eller ny læsion

      Hvad bør man kontrollere

      • Det vigtigste formål med kontrollen er at diagnosticere lokalt og regionalt recidiv, mens det fortsat er operabelt og at diagnosticere eventuelle nye maligne melanomer i huden
      • Lægekontrollerne bør omfatte en målrettet sygehistorie og en lokal undersøgelse og palpation af lymfeknudestationer og en generel klinisk undersøgelse, med vurdering af patientens nævi
      • Blodprøver og radiologiske undersøgelser gøres ikke rutinemæssig ved kontrol af patienter som ikke er højrisiko patienter
      • Højrisiko patienter får foretaget UL og/eller PET -CT-skanning som en del af kontrolundersøgelsen på hospitalet

      Sygdomsforløb, komplikationer og senfølger samt prognose

      Sygdomsforløb

      • Flere bliver helbredt for MM i dag end tidligere, da relativt flere MM opdages i et tidligt stadium
      • Det tager 1-7 år før MM med horisontal vækst går over i vertikal vækstfase med noduludannelse og metastatisk potentiale

      Prædiktioner

      • Det er ikke muligt at bestemme, hvilke nævi som forbliver benigne, og hvilke som har malignt potentiale
      • Nyopståede nævi hos personer over 40 år vurderes kritisk
      • Malignt melanom kan opstå fra normal hud

      Metastaser

      • Lokalisation
        • Hos ca. 50 % af de patienter, som får fjernmetastaser, debuterer tilstanden med kutane/subkutane metastaser og/eller lymfeknudemetastaser
        • Ca. 30 % får lungemetastaser
        • De resterende ca. 20 % fordeler sig mellem lever-, CNS- og knoglemetastaser
      • I mange tilfælde optræder fjernmetastaser samtidigt i flere organer

      Prognose

      • Tidlig diagnose og behandling er afgørende for prognose
      • Maligne melanomer med overfladisk spredning kan helbredes ved kirurgisk primærbehandling
      • Elektivt lymfeknuderømning ved melanom på ekstremiteter ser ikke ud til at bedre overlevelsen, men øger derimod morbiditet grundet risiko for lymfødem

      Vurdering af prognose

      • Prognosen er først og fremmest relateret til:
        • Tykkelsen af primærlæsionen
        • Metastase til regionale lymfeknuder
      • Andre prognostiske faktorer
        • Ulceration
        • Køn, alder og tumorsted
      • Lymfeknuder
        • Prognosen forværres, jo flere lymfeknuder som er involveret
        • Ti-årsoverlevelsen ved én metastase er omkring 50 %, ved 2-3 metastaser er den omkring 30 %
        • Prognosen er betydelig forværret ved ekstranodal vækst
        • Hvis regionale lymfeknuder er makroskopisk involveret, er det 20-50 % chance for at overleve 5 år
      • Køn
        • Prognosen synes at være bedre blandt kvinder
      • Lokalisation
        • Prognosen er bedst ved lokalisation på hals og ekstremiteter og dårligst ved lokalisation på fødder, hænder og subungualt, dette skyldes hovedsageligt at disse MM læsioner opdages sent. I USA, står det klart at der er øget MM dødelighed hos afro-amerikanere og andre med mørkere hudtyper pga forsinkelse af diagnosen

      Overlevelse i forhold til AJCC-systemet 

      • Henholdsvis 5 års og 10 års overlevelse
      • Stadium I (primær tumor ≤ 0,8-1 mm) 97 % og 93 %
      • Stadium II (primær tumor >1 mm) 53 % og 39 %
      • Stadium III (regionale lymfeknudemetastaser) 46 % og 33 %
      • Stadium IV (systemiske metastaser) overlevelsen er afhængig af, hvor metastaserne sidder, og om der er forhøjet serum LDH. 2 års overlevelse med normal LDH 40 % med forhøjet LDH 18 %

      Baggrundsoplysninger

      Definition

      • Ved udvikling af malignt melanom, modermærkekræft, undergår melanocytter malign transformation
      • Neoplasi af melanocytter i huden opstår i basalcellelaget i epidermis
      • Efter den maligne transformation bliver tumor invasiv og penetrerer ned i og udenfor dermis
      • Farlig kræftform, der rammer yngre: 80 % af alle dødsfald ved hudcancer skyldes malignt melanom
      • Malignt melanom er omfattet af kræft-plan III, der sikrer patienten diagnose og behandling inden for få dage
      • Hos flertallet er sygdommen lokaliseret og lader sig behandle ved kirurgisk fjernelse af det kræftramte hudområde
      • 5-10% af alle MM forekommer i familier med familiær ophobning af MM 

      Forekomst

      MM er en hyppig kræftsygdom; 5. hyppigste for kvinder og 6. hyppigste for mænd, og incidensen stiger fortsat i Danmark med 4-5% om året. Denne stigning er primært blandt tynde melanomer. Godt 50% er T1a tumorer, som har en særdeles god prognose, og mortaliteten i Danmark er stort set ikke steget de sidste mange år, trods den vedvarende stigning i incidensen.

      • MM rammer alle aldersgrupper, er lidt hyppigere for kvinder end for mænd, og incidensen stiger med alderen.
      • Andelen af ældre stiger fortsat, og dette afspejler sig i sygdomsforekomsten.
      • Sygdommen er påvirket af socioøkonomiske og helbredsmæssige forhold, idet kort uddannelse, lav indkomst og komorbiditet er associeret med mere fremskreden sygdom på diagnosetidspunktet, særligt blandt mænd, og mortaliteten ligeså, om end mindre udtalt 
      •  MM rammer unge mennesker
        • Medianalderen er 53 år, 25 % optræder hos personer yngre end 40 år
        • MM er en af de hyppigste kræftformer hos unge voksne
      • Personer med lys hud har som udgangspunkt 10 gange højere risiko end personer med mørk hud. Men vær opmærksom på diagnostic delay hos patienter med mørk hud, der ofte medfører forsinket diagnostik af de akrale MM, der forekommer uanset hudfarve

      Prævalens og incidens

      • I 2017-2021 fik gennemsnitligt 1.333 mænd og 1.405 kvinder konstateret MM/år 
      • Antal døde per år på grund af MM er let stigende og i perioden 2017-2021 døde der årligt 160 mænd og 113 kvinder af MM

      Ætiologi og patogenese

      • Maligne melanomer kan udvikle sig enten fra benigne nævi, atypiske nævi eller de novo fra normal hud 
        • Antallet af almindelige og atypiske nævi på en person er korreleret til risikoen for at udvikle malignt melanom
      • Man antager, at 5-10 % af melanomer udvikles på genetisk grundlag, mens ultraviolette stråler er en vigtig ydre årsag hos 2/3
      • Solforbrænding i børne- og ungdomsårene ser ud til at have større betydning end forbrænding senere i livet
      • Udvikler sig også på steder på kroppen, som ikke eksponeres for sollys

      Lokalisation

      • Malignt melanom kan opstå, hvor der findes melanocytter - i hud, i slimhinder (som mundhule, næsekavitet, bihuler, tarmslimhinde og ydre genitalslimhinde), i øjne og i lymfeknuder
      • Omkring 90 % opstår i huden
      • I 8-10 % af tilfældene er primærtumors lokalisation ukendt, og diagnosen stilles på grund af metastaser
      • Lokalisationen er kønsbetinget, idet malignt melanom hos mænd overvejende optræder på overkroppen, mens sygdommen hos kvinder overvejende forekommer på underekstremiteterne

      Disponerende faktorer

      Risikofaktorer for melanomudvikling er:

      • Hudtype 1 og 2
      • Ultraviolette stråler
        • Ultraviolet stråling (UV-stråling), specielt i form af intermitterende soleksponering med høj intensitet, og gentagne solforbrændinger er vigtigste eksterne årsag til udvikling af melanom
        • Vigtigt er total akkumuleret UV-eksponering for udvikling af lentigo maligna-melanomer
        • Solarier afgiver hovedsageligt UV-A-stråler, men også nogen UV-B
      • Hyppige solforbrændinger tidligt i livet
      • Nævi
        • Mange nævi (50-100 eller flere)
        • Atypiske nævus syndrom
        • Medfødt nævus større end 20 cm - risikostigning 5-15 %
        • Pigmenterede, medfødte nævi blev i en systematisk studie fundet, at gennemgå malign transformation i 0,7 % af tilfældene
      • Tidligere malignt melanom
        • Risikostigning 9-10 %
        • Risikoen er størst de første to år efter diagnosen
      • Familiær disposition
        • Malignt melanom hos første- eller andengrads slægtning - risikostigning 8 %
      • Børn og unge som har været behandlet med cytostatika - risikostigning 6-8 %
      • Xeroderma pigmentosum
        • Hudsygdom som skyldes manglende evne til DNA-reparation
      • Solarier
        • Det kan se ud til, at lyshudede, lyshårede individer har øget risiko ved brug af solarier jævnfør med sædvanlig sol
        • Yngre personer synes at løbe større risiko end ældre
      • Det er anslået at 93% af MM hos mænd og 95% af MM hos kvinder i Danmark kan undgås ved beskyttelse mod UV-stråling. 

      Genetik

      • Visse familier er stærkt disponerede: Stort antal (50+) nævi typisk lokaliseret på trunkus
        • Mindst ét atypisk nævus 
        • Familiær anamnese i form af mindst et tilfælde af MM hos 1. grads slægtning (forældre, børn eller søskende) eller to eller flere tilfælde af MM på samme side i familien
      • Familier med 3 eller flere førstegrads slægtninge med kutant MM kan tilbydes genetisk testning med undersøgelse for mutationer i CDKN2A og CDK4 gener (i disse familier kan der være øget forekomst af pancreas cancer og hjernecancer).
      • Med baggrund i MM-incidens og mutationsprævalens foreslås følgende algoritme for genetisk testning; I Nordeuropa (herunder Danmark) benyttes ”Rule of three”
        1. Tre primære MM hos 1 person eller
        2. Familie med mindst 1 tilfælde af invasiv MM og pancreascancer hos 1.- eller 2.- grads slægtninge i samme gren af familien
      • Genetisk testning koncentrerer sig primært om CDKN2A, BAP-1 mutation, BRCA 1 og BRCA 2 generne, Lynch 1 og Lynch 2 (tarmkræft), mens rådgivningen også tager hensyn til at familier med et stort antal MM stadig har en øget risiko, selvom de ikke får påvist en mutation. Diskussionen omkring betydningen af gentest for hele familien samt identifikation af index cases varetage bedst af egen læge.

      ICPC-2

        ICD-10/SKS-koder

        Patientinformation

        Link til patientinformation

        Lindrende behandling ved fremskreden kræftsygdom

        Link til vejledninger

        Animation

        Patientorganisationer

        Illustrationer

        Billeder

        Modermærkekræft med asymmetri af farve

        Modermærkekræft med asymmetri af farve og uregelmæssig afgrænsning (border)

        Modermærkekræft med nodulær spredning

        Modermærkekræft på øreflippen

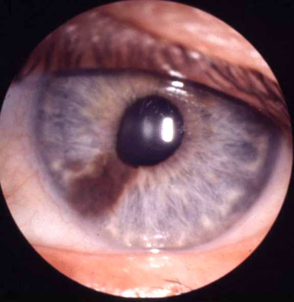
        Modermærkekræft i øjets regnbuehinde

        Dermoskopisk foto af blå-brunt malignt melanom og foto af hele læsionen

        Modermærkekræft på fingerspids

        Modermærkekræft i fodsål

        Modermærkekræft forstadie af typen lentigo maligna på venstre kindben

        Tegninger

        Kilder

        Fagmedarbejdere

        Mette Mogensen

        overlæge, klinisk lektor, ph.d., Dermato-Venerologisk afd. D, Bispebjerg og Frederiksberg Hospital

        Lisa Sengeløv

        overlæge, dr, med., Onkologisk afdeling, Herlev Hospital

        Annika Norsk Jensen

        speciallæge i almen medicin, ph.d.,

        Har du en kommentar til artiklen?

        Bemærk venligst, at du IKKE vil modtage svar på henvendelser, der omhandler din egen sygdom, pårørendes sygdom, blodprøvesvar, hjælp til at udarbejde skoleopgaver og litteratursøgning.

        Indhold leveret af

        Lægehåndbogen

        Lægehåndbogen

        Kristianiagade 12

        2100 København Ø

        DisclaimerLægehåndbogen